
Венозная ангиома головного мозга — это сосудистая опухоль, образованная аномальной накоплением венозной крови в мозге. Она является одной из самых распространенных сосудистых опухол головного мозга и может возникать как у детей, так и у взрослых.
Основные причины возникновения венозной ангиомы головного мозга пока неизвестны. Она, как правило, не наследуется и обычно обнаруживается случайно при проведении обследований по другим поводам. Однако некоторые исследования указывают на возможную связь между развитием венозной ангиомы и наличием генетических мутаций.
Лечение венозной ангиомы головного мозга зависит от ее размера и симптомов, которые она вызывает. Если опухоль не вызывает никаких проблем и не увеличивается в размерах, то лечение может не потребоваться. Однако в некоторых случаях может быть рекомендовано хирургическое удаление опухоли для предотвращения возможных осложнений.
- Венозная ангиома головного мозга не является злокачественной опухолью и обычно имеет благоприятный прогноз.
- Большинство пациентов с венозной ангиомой головного мозга не испытывают симптомов и медицинского вмешательства не требуется.
- Однако, в некоторых случаях, венозная ангиома может вызывать головные боли, судороги и нарушения зрения, требующие лечения.
| Причины венозной ангиомы | Лечение венозной ангиомы | Прогноз венозной ангиомы |
|---|---|---|
| Неизвестны, возможно, генетические мутации влияют на ее развитие. | Не требуется лечение, если опухоль никаких проблем не вызывает. В некоторых случаях может потребоваться хирургическое удаление. | Обычно благоприятный. Медицинского вмешательства не требуется в большинстве случаев. |
Венозная ангиома головного мозга — это сосудистая опухоль, которая обычно не является злокачественной и имеет благоприятный прогноз. Лечение может быть рекомендовано, только если опухоль вызывает симптомы или увеличивается в размерах.
Что такое венозная ангиома головного мозга?
Венозная ангиома головного мозга, также известная как венозная мальформация, представляет собой аномалию кровеносной системы, которая возникает из-за необычно развитых сосудов в головном мозге. При этом нормальные сосуды заменяются необходимыми оттоком крови венами. Венозные ангиомы могут быть врожденными или приобретенными с возрастом. Эта патология неопухолевого характера и обычно не обнаруживает симптомы, пока не возникнут проблемы.
Основные причины возникновения венозных ангиом головного мозга остаются неизвестными ученым. Однако считается, что генетические мутации могут играть роль в их формировании. Также известно, что венозные ангиомы могут быть связаны с наследственностью, поскольку некоторые семьи имеют повышенный риск развития этого заболевания. У людей с врожденными пороками сердца и сосудов также может быть повышенный риск развития венозных ангиом.
| Частота встречаемости | Симптомы | Диагностика | Лечение |
|---|---|---|---|
| Редкая | Чаще бессимптомна, но при проблемах могут возникать головные боли, судороги, нарушения зрения и др. | Используются методы визуализации сосудов и головного мозга (МРТ, КТ, ангиография) | Наблюдение, лекарственное лечение или хирургическое удаление венозной ангиомы |
Венозная ангиома головного мозга — это аномалия кровеносной системы головного мозга, обусловленная ростом необычно развитых сосудов. Часто она не вызывает симптомов, но может стать причиной головных болей, судорог и других проблем. При подозрении на венозную ангиому, проводится комплексное обследование с использованием различных методов визуализации для точной диагностики. Лечение может включать наблюдение, медикаментозную терапию или хирургическое удаление аномалии.
Определение и особенности венозной ангиомы головного мозга
Венозная ангиома может иметь различные размеры и формы, и часто представляет собой сеть перемежающихся аномальных сосудов, напоминающую паутину. Она может развиваться в разных частях головного мозга, включая мозжечок, полушария и ствол мозга.
Основной причиной развития венозной ангиомы головного мозга являются генетические нарушения, которые влияют на формирование сосудов во время развития эмбриона. У большинства пациентов с венозной ангиомой нет симптомов и заболевание обнаруживается случайно при проведении обследований по другой причине. Однако, в некоторых случаях венозная ангиома может вызывать головные боли, судороги, нарушения чувствительности и двигательных функций.
Причины возникновения венозной ангиомы головного мозга
- Генетическая предрасположенность: у некоторых людей существует повышенный риск развития венозной ангиомы головного мозга из-за наличия определенных генетических мутаций. Например, мутации в генах, отвечающих за развитие кровеносной системы, могут привести к образованию аномальных сосудистых структур.
- Врожденные аномалии: некоторые случаи венозной ангиомы головного мозга могут быть связаны с врожденными аномалиями развития сосудов. Например, изменения в развитии капилляров и вен уже внутриутробно могут приводить к формированию аномальных опухолей в последующем.
- Травма головы: некоторые исследования связывают повреждение головы с возникновением венозной ангиомы головного мозга. Травматическое воздействие на сосуды может спровоцировать их аномальное расширение и формирование опухоли.
- Расстройства развития сосудов: некоторые заболевания, связанные с нарушениями развития сосудов, могут стать причиной возникновения венозной ангиомы головного мозга. Например, артериовенозные мальформации – это сосудистые аномалии, которые могут стать основой для развития ангиомы.
Венозная ангиома головного мозга является редким заболеванием, и точные причины ее возникновения не всегда можно установить. Однако, изучение генетических факторов, врожденных аномалий, травмы головы и расстройств развития сосудов может помочь лучше понять механизмы образования венозной ангиомы и разработать эффективные методы ее профилактики и лечения.
Симптомы и диагностика венозной ангиомы головного мозга

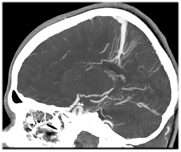
Для диагностики венозной ангиомы головного мозга используются различные методы исследования. Одним из них является компьютерная томография (КТ), которая позволяет получить рентгеновское изображение головного мозга с помощью компьютерной обработки данных. Другой распространенный метод — магнитно-резонансная томография (МРТ), которая создает детальные изображения головного мозга с использованием магнитных полей и радиоволн. Кроме того, может быть проведена ангиография, которая позволяет оценить состояние сосудов головного мозга с использованием рентгена и контрастного вещества.
- Симптомы венозной ангиомы головного мозга:
- Головные боли;
- Головокружение;
- Тошнота и рвота;
- Неврологические симптомы (судороги, парезы, нарушение чувствительности).
| Методы диагностики | Описание |
|---|---|
| Компьютерная томография (КТ) | Получение рентгеновского изображения головного мозга с помощью компьютерной обработки данных. |
| Магнитно-резонансная томография (МРТ) | Создание детальных изображений головного мозга с использованием магнитных полей и радиоволн. |
| Ангиография | Оценка состояния сосудов головного мозга с использованием рентгена и контрастного вещества. |
Лечение венозной ангиомы головного мозга
Лечение венозной ангиомы головного мозга зависит от ее размера, симптомов и общего состояния пациента. В большинстве случаев, маленькие и без симптомов ангиомы лишь наблюдаются на протяжении времени. Однако, если ангиома достигает значительных размеров или вызывает проблемы, могут потребоваться медицинские вмешательства.
Неинвазивные методы лечения венозной ангиомы головного мозга
Неинвазивные методы лечения включают радиотерапию и гамма-нож. Радиотерапия применяется для уменьшения размера ангиомы путем облучения радиацией. Гамма-нож техника также используется для облучения ангиомы, но в этом случае центры радиации сосредоточены на одной точке с высокой интенсивностью. Оба метода обычно требуют нескольких сеансов, проводимых в течение нескольких месяцев или лет.
Инвазивные методы лечения венозной ангиомы головного мозга
Иногда могут потребоваться более инвазивные методы лечения, такие как хирургическое удаление ангиомы. В зависимости от местоположения и размера ангиомы, хирургическое вмешательство может быть проведено с использованием традиционных методов или минимально инвазивных техник, таких как эндоваскулярная эмболизация. Последнее включает введение специальных веществ или катетера в сосуды, чтобы блокировать кровоток в ангиоме и прекратить ее рост.
| Метод лечения | Преимущества | Недостатки |
|---|---|---|
| Радиотерапия | — Минимально инвазивный | — Требует нескольких сеансов |
| Гамма-нож | — Высокая точность облучения | — Требует нескольких сеансов |
| Хирургическое удаление | — Полное удаление ангиомы | — Более инвазивный метод |
| Эндоваскулярная эмболизация | — Минимально инвазивный | — Возможность повторного роста ангиомы |
Важно отметить, что каждый случай венозной ангиомы головного мозга индивидуален, и решение о лечении должно быть принято после тщательного анализа медицинской истории пациента и консультации с врачом.
Виды хирургического вмешательства
Для лечения венозной ангиомы головного мозга могут быть применены различные виды хирургического вмешательства в зависимости от размеров и местоположения опухоли. Важно отметить, что решение о необходимости и методе операции принимает нейрохирург на основе результатов обследования пациента.
- Микрохирургическое удаление: Это наиболее распространенный метод хирургического удаления венозной ангиомы головного мозга. Во время процедуры хирург делает небольшой разрез в черепе и использование микроскопа и других специализированных инструментов, удаляет опухоль. После этого разрез швами закрывается. Этот метод позволяет точно удалить опухоль и минимизировать повреждение окружающих тканей.
- Гамма нож: Это неинвазивный метод лечения венозной ангиомы головного мозга. Гамма-нож — система радиохирургии, которая позволяет точно и без операции удалять опухоль. Во время процедуры пациенту на голову надевается специальный аппарат, который точно направляет радиационные лучи на опухоль. Эта процедура обычно занимает несколько часов и не требует госпитализации пациента.
Важно: Выбор метода хирургического вмешательства зависит от индивидуальных особенностей пациента, размеров и расположения опухоли, а также множества других факторов. Необходимо проконсультироваться с опытным нейрохирургом, чтобы определить наиболее подходящий метод лечения в каждом конкретном случае.
Возможные осложнения и прогноз при венозной ангиоме головного мозга
Еще одним возможным осложнением при венозной ангиоме головного мозга является развитие венозной тромбоза, который возникает из-за нарушения кровообращения. Это может привести к формированию сгустков крови в венах головного мозга, что может вызвать повышенное внутричерепное давление, головные боли, судороги и нарушение функций головного мозга.
- Кровоизлияние из ангиомы
- Развитие геморрагического инсульта
- Венозная тромбоза
- Повышенное внутричерепное давление
- Нарушение функций головного мозга
Прогноз при венозной ангиоме головного мозга зависит от многих факторов, таких как размер и местоположение ангиомы, а также наличие осложнений. В некоторых случаях, когда ангиома маленькая и не вызывает симптомов, пациентам не требуется лечение, и прогноз может быть благоприятным. Однако, в случае развития осложнений, прогноз может быть неблагоприятным, и требуется медицинское вмешательство, такое как хирургическое удаление ангиомы или проведение радиотерапии.
Венозная ангиома головного мозга может вызывать кровоизлияние и развитие геморрагического инсульта. Она также может привести к венозной тромбозе и повышенному внутричерепному давлению.
Прогноз при венозной ангиоме головного мозга зависит от размера, местоположения и наличия осложнений. В некоторых случаях, когда ангиома небольшая и без симптомов, прогноз может быть благоприятным. Однако, в случае развития осложнений, требуется медицинское вмешательство и прогноз может быть неблагоприятным.
Реабилитация и последующее наблюдение пациентов

Реабилитационная программа может включать в себя следующие аспекты:
- Физическая терапия: Включает в себя упражнения, направленные на улучшение двигательных функций, координации и баланса. Физическая терапия также может помочь в уменьшении боли и восстановлении мышечной силы.
- Оккупационная терапия: Оккупационная терапия может помочь пациентам восстановить навыки выполнения повседневных задач, таких как кормление, одевание и гигиенические процедуры.
- Речевая терапия: Поскольку венозная ангиома головного мозга может повлиять на речевые навыки пациента, речевая терапия может быть рекомендована для восстановления и улучшения коммуникативных функций.
После реабилитации пациенты должны регулярно проходить наблюдение у врача для контроля состояния и выявления возможных рецидивов или осложнений. Рекомендуется проводить регулярные МРТ-сканирования мозга, чтобы отслеживать изменения размеров ангиомы и контролировать ее динамику. В случае обнаружения рецидива или роста ангиомы, может потребоваться дополнительное лечение или мониторинг.
Венозная ангиома головного мозга требует комплексного подхода к лечению и реабилитации. После операции или другого метода лечения, пациентам необходима реабилитационная программа, включая физическую и оккупационную терапию, а также речевую терапию. Регулярное наблюдение пациентов после реабилитации позволяет контролировать состояние ангиомы и своевременно выявлять возможные осложнения или рецидивы.
Статистика и исследования венозной ангиомы головного мозга
- Венозная ангиома головного мозга составляет около 2% всех опухолей головного мозга. Это делает ее относительно редким заболеванием, но в то же время она может встречаться у людей разных возрастных групп.
- Исследования показывают, что венозная ангиома головного мозга в основном возникает у взрослых и реже встречается у детей. Самый распространенный возраст, при котором диагностируется данное заболевание, составляет от 20 до 40 лет.
Статистически, венозная ангиома головного мозга встречается чаще у мужчин, чем у женщин.
Для более точного определения прогноза и лечения венозной ангиомы головного мозга, проводятся различные исследования. В одном исследовании было обнаружено, что рассеянные венозные ангиомы обычно имеют благоприятный прогноз и могут оставаться малозначимыми на протяжении многих лет. Однако, у некоторых пациентов могут возникнуть симптомы или осложнения, требующие активного наблюдения или дополнительных лечебных мероприятий в будущем. Исследования также помогают разрабатывать различные методы лечения, включая хирургическое удаление, радиотерапию или наблюдение без активного вмешательства, в зависимости от конкретного случая и симптомов пациента.
Источник — http://mdc51.ru/chto-takoe-venoznaya-angioma-golovnogo-mozga-prichiny-lechenie-prognoz.html