
Папилломы во рту – это доброкачественные опухоли, которые могут появиться на слизистой оболочке горла, языка или губ. Когда вы обнаруживаете такие образования, важно немедленно обратиться к специалисту, чтобы получить квалифицированную помощь. В данном случае, лучше всего обратиться к стоматологу или ортодонту. Помимо этого, возможно потребуется консультация у врача-онколога или инфекциониста.
Если у вас появились папилломы во рту, первым шагом следует обратиться к стоматологу. Данный специалист имеет опыт в диагностике и лечении заболеваний полости рта и может провести осмотр слизистой оболочки и удаление папиллом. В случае необходимости, стоматолог может направить вас к другому специалисту для более подробного обследования и лечения.
Важно знать:
Если стоматолог посчитает, что папиллома имеет предраковую природу или высокий риск развития злокачественной опухоли, вам может быть назначено обследование у врача-онколога. Он проведет дополнительные исследования и уточнит показания для лечения.
Также при папилломах во рту может потребоваться консультация у инфекциониста, особенно если опухоли вызваны вирусом папилломы человека (ВПЧ). Инфекционист проведет дополнительное обследование, определит причину появления папиллом и назначит соответствующее лечение. Он также сможет помочь вам разработать стратегию профилактики и предотвращения дальнейшего распространения инфекции.
Папилломы во рту: к какому врачу обратиться?
Одним из специалистов, которые могут помочь вам с папилломами во рту, является стоматолог. Он проведет осмотр полости рта и оценит состояние папиллом. В некоторых случаях стоматолог может самостоятельно удалить папилломы с помощью хирургического вмешательства или электрокоагуляции. Однако, если папилломы находятся в труднодоступных местах или стоматолог считает, что требуется более серьезное вмешательство, он может направить вас к другому специалисту.
Еще одним специалистом, с которым можно обратиться при папилломах во рту, является оториноларинголог (фтизиатр). Они имеют специализацию в области респираторных путей, включая горло и нос. Они могут провести более детальное обследование папиллом и, при необходимости, использовать более специализированные методы лечения, такие как лазерная терапия или криогенная терапия.
Важно: Если у вас обнаружены папилломы во рту, не пытайтесь самостоятельно удалять их или использовать сомнительные методы лечения, такие как цаутеризация. Это может привести к осложнениям и повреждению окружающих тканей. Обратитесь к профессионалу для получения качественного лечения.
| Симптомы папиллом во рту: |
|
| Компоненты лечения: |
|
С какими симптомами стоит обратиться?

Папилломы во рту могут проявляться различными симптомами, и если у вас есть подозрения на их наличие, важно обратиться к врачу для диагностики и лечения. Вот несколько симптомов, с которыми стоит обратиться к врачу:
-
Появление болезненных образований. Если у вас во рту возникают болезненные образования, такие как язвы или опухоли, которые не проходят в течение 2-3 недель, это может быть признаком наличия папилломы. Болезненность может быть связана с раздражением слизистой оболочки от папилломы или воспалением вокруг нее.
-
Изменение внешнего вида слизистой оболочки. Папилломы могут приводить к изменению цвета, текстуры и формы слизистой оболочки во рту. Зараженный участок может быть более красным или более пигментированным, а также иметь шероховатую или бугристую поверхность.
-
Проблемы с глотанием или разговором. Если у вас возникают трудности с глотанием пищи или жидкости, или если вы испытываете затруднения в произношении определенных звуков или слов, это может быть связано с наличием папилломы во рту, особенно если она располагается на задней части языка или глотки.
Помните, что только врач может дать точный диагноз и назначить соответствующее лечение. Если у вас есть подозрения на наличие папилломы во рту, обратитесь к стоматологу или оториноларингологу для проведения осмотра и необходимых исследований.
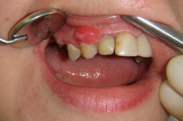
Определение папиллом во рту
Папилломы могут появляться в различных частях рта, включая язык, губы, десны, небо или задний конец горла. Они могут быть большими или маленькими, одиночными или группами. Папилломы во рту обычно безболезненны, но могут вызывать дискомфорт при жевании или говорении, а также вызывать кровотечение при травмах или чистке зубов.
| Признаки и симптомы папиллом во рту: |
| — Маленькие опухоли на слизистой оболочке полости рта |
| — Розовый или серый цвет папиллом |
| — Могут быть большими или маленькими, одиночными или группами |
| — Безболезненны, но могут вызывать дискомфорт при жевании или говорении |
| — Могут вызывать кровотечение при травмах или чистке зубов |
Причины появления папиллом
- Инфекция ВПЧ: Главная причина появления папиллом — это инфекция ВПЧ. Инфекция передается через контакт кожи, и часто происходит при непосредственном контакте с инфицированными папилломами или использовании общих предметов, таких как полотенца или инструменты для ухода за полостью рта.
- Ослабленный иммунитет: Ослабленный иммунитет может способствовать появлению папиллом. Иммунная система играет важную роль в борьбе с инфекциями ВПЧ, поэтому люди с ослабленным иммунитетом, такие как пациенты с ВИЧ-инфекцией или люди, принимающие иммуносупрессивные лекарства, более подвержены появлению папиллом.
- Травма и повреждение кожи: Поврежденная кожа или слизистые оболочки могут создать благоприятные условия для появления папиллом. Раздражение, трение, раны или другие повреждения кожи в полости рта могут стать порталом для вируса ВПЧ и способствовать формированию папиллом.
Важно отметить, что папилломы не всегда могут быть вызваны одной определенной причиной. Комбинация факторов, таких как инфекция ВПЧ, ослабленный иммунитет и повреждение кожи, может привести к появлению папиллом в полости рта.
Диагностика папиллом во рту

Диагностика папиллом во рту основана на визуальном исследовании, а также проведении необходимых лабораторных тестов. При появлении папиллом во рту важно незамедлительно обратиться к стоматологу или отоларингологу для проведения полной диагностики.
При визуальном исследовании врач обращает внимание на внешний вид папиллом, их форму, цвет, размер и количество. Он также определяет, где именно на слизистой оболочке рта расположены папилломы. Если папилломы находятся на задней стенке глотки или в глубине гортани, может быть необходимо проведение более детального аппаратного исследования, такого как гортаноскопия или видеоэндоскопия.
| Лабораторные тесты для диагностики папиллом во рту: | Описание: |
|---|---|
| Цитологическое исследование | Позволяет выявить признаки вирусного поражения и оценить характеристики папилломатозной ткани. |
| Полимеразная цепная реакция (ПЦР) | Позволяет определить наличие вируса папилломы человека (ВПЧ) в организме и установить его генотип. |
| Биопсия с последующим гистологическим исследованием | Позволяет получить образец ткани папилломы для более точного определения ее характеристик и исключения злокачественной природы образования. |
Диагностика папиллом во рту включает визуальное исследование, а также проведение лабораторных тестов, таких как цитологическое исследование, ПЦР и биопсия с гистологическим исследованием. В случае расположения папиллом на задней стенке глотки или в гортани может потребоваться проведение аппаратных исследований, таких как гортаноскопия или видеоэндоскопия.
Влияние папиллом на здоровье
Влияние папиллом на здоровье включает как физические, так и эмоциональные аспекты. Физически, папилломы во рту могут вызывать дискомфорт и болезненность, особенно при жевании или говорении. Они могут также привести к кровотечениям и инфекциям при повреждении или раздражении. Папилломы могут также ограничивать возможность принятия пищи, особенно если они расположены на языке или деснах.
С эмоциональной точки зрения, папилломы во рту могут вызвать стресс, снизить уверенность в себе и привести к социальной изоляции. Они могут быть видимыми и вызывать неприятие со стороны окружающих. В случае появления папиллом во рту, важно немедленно обратиться к врачу для диагностики и лечения, чтобы предотвратить возможные осложнения и минимизировать отрицательное влияние на здоровье и качество жизни.
Врачи, которые лечат папилломы во рту

Папилломы во рту могут быть причиной неприятных ощущений и эстетических проблем, поэтому важно обратиться к специалисту для их лечения. Врачи, которые занимаются лечением папиллом во рту, включают в себя стоматологов и оториноларингологов.
Стоматолог
Стоматолог — это врач, специализирующийся на заболеваниях полости рта и зубов. В контексте папиллом во рту, стоматолог может провести осмотр, поставить диагноз и предложить соответствующее лечение. Он может также выполнить процедуры удаления папиллом, такие как хирургическое удаление или применение лазерной терапии.
Оториноларинголог
Оториноларинголог (сокращенно — ЛОР) — это врач, специализирующийся на заболеваниях головы, шеи и ушей. Папилломы во рту могут иногда быть связаны с инфекцией вирусом папилломы человека (ВПЧ), поэтому оториноларинголог может провести дополнительные обследования и лечение для определения возможного источника инфекции и устранения папиллом.
| Специалист | Роль |
|---|---|
| Стоматолог | Поставляет диагноз, проводит удаление папиллом |
| Оториноларинголог | Обследование и лечение папиллом в связи с ВПЧ |
Как выбрать врача для лечения папиллом во рту?
- Ищите стоматолога или отоларинголога, специализирующегося на проблемах слизистой оболочки рта и гортани. Эти врачи имеют опыт в лечении папиллом во рту и могут предложить наиболее эффективные методы лечения.
- Узнайте об опыте и квалификации врача. Проверьте, есть ли у него необходимые сертификаты и лицензии для практики в медицине.
- Подумайте о конкретных потребностях вашего случая. Некоторые папилломы могут требовать хирургического вмешательства, в то время как другие могут быть эффективно лечиться медикаментозными методами. Убедитесь, что выбранный врач имеет опыт в нужной терапии.
Перед тем как принять окончательное решение, всегда лучше проконсультироваться с несколькими врачами. Это поможет сравнить их подходы и мнения, и выбрать наиболее подходящего специалиста для вашей ситуации. Не забывайте также обратить внимание на репутацию врача и отзывы от пациентов. Можно попросить рекомендации у знакомых или использовать онлайн-рейтинги и отзывы на специализированных сайтах.
Рекомендации по профилактике папиллом
- Правильная гигиена рук является одним из наиболее важных средств профилактики папиллом. Необходимо регулярно мыть руки с мылом и водой, особенно после посещения туалета и контакта с общественными поверхностями.
- Использование презервативов при половых контактах также помогает снизить риск заражения вирусом папилломы человека. Презервативы могут уменьшить шансы передачи вируса с одного партнера на другого, но не исключают возможность заражения половыми партнерами.
- Вакцинация является эффективным способом профилактики папиллом. Существуют вакцины, которые предотвращают инфекцию вирусом папилломы человека. Обратитесь к врачу для получения дополнительной информации и соответствующих прививок.
- Проверка состояния кожи и слизистых поможет своевременно обнаружить папилломы. Регулярно осматривайте свое тело, включая области, где могут появиться папилломы, такие как шея, грудь, руки и интимные части тела. В случае обнаружения каких-либо новообразований, обратитесь к врачу для диагностики и лечения.
Профилактика папиллом включает в себя соблюдение гигиены рук, использование презервативов, вакцинацию и регулярное самостоятельное обследование кожи и слизистых. Эти простые меры позволяют снизить риск заражения вирусом папилломы человека и предотвратить возникновение папиллом.
Источник — http://mdc51.ru/k-kakomu-vrachu-obrashhatsya-pri-papillomah-vo-rtu.html