
Бородавки и прыщи – два разных вида высыпаний на коже, и их легко спутать друг с другом. Они могут иметь схожий внешний вид, но причины их возникновения, структура и локализация отличаются. Чтобы правильно определить, что это – бородавка или прыщ, следует обратить внимание на несколько ключевых признаков.
-
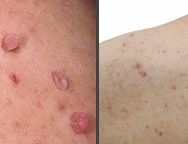
Внешний вид
Бородавка обычно выглядит как небольшая бугорчатая опухоль на коже, покрытая грубым роговым слоем. Она может иметь цвет от бледно-розового до коричневого. Прямоугольная форма с плоской верхушкой – еще один признак бородавки. Прыщ, в свою очередь, чаще всего представляет собой красную, воспаленную пузырчатку, содержащую гной. Его размеры могут варьироваться от мелких папул до больших пустул.
-
Место высыпания
Бородавки и прыщи могут появиться в разных местах на теле. Бородавки чаще всего встречаются на руках, пальцах, лице, стопах. У прыщей наиболее распространенное место появления – это лицо, спина и плечи. Обратите внимание на локализацию высыпания, чтобы сделать правильный диагноз.
Если вы все еще сомневаетесь, можно обратиться к врачу-дерматологу, который сможет провести осмотр и поставить точный диагноз.
Бородавка или прыщ: как их различить?
- Вид: бородавка часто имеет грубую и неровную текстуру, иногда с наличием черных точек. Она может иметь белый, серый или коричневый цвет. Прыщ, с другой стороны, обычно представляет собой маленький воспаленный участок кожи с покраснением и белым гнойным содержимым.
- Местоположение: бородавки часто появляются на руках, пальцах, стопах и других местах, подверженных трению или давлению. Они также могут быть расположены на лице или шее. Прыщи обычно появляются на тело, лице и спине, где активны сальные железы.
- Распространение: бородавки обычно появляются в группах или кластерах, в то время как прыщи могут быть единичными или находиться близко друг к другу.
Важно помнить, что если вы не уверены в диагнозе, лучше проконсультироваться со специалистом, таким как дерматолог. Он сможет правильно определить тип высыпания и назначить соответствующее лечение для вашего случая.
Внешний вид бородавки и прыща
- Бородавка: Бородавки имеют грубую текстуру и шероховатую поверхность. Они обычно выпускаются из кожи и могут быть покрыты серым или коричневым налетом. Размер бородавок может варьироваться от маленькой точки до большого пятна. Бородавки могут быть плоскими и гладкими или выпуклыми и шишковатыми.
- Прыщ: Прыщи обычно появляются как красные или розовые выпуклости на коже. Они имеют мягкую текстуру и могут быть болезненными при касании. Прыщи часто появляются в местах с повышенным секрецией кожного сала, таких как лицо, спина и грудь. Их размер и форма могут варьироваться.
Кроме внешнего вида, также важно обратить внимание на симптомы и длительность существования образования. Бородавки обычно дольше сохраняются на коже и имеют тенденцию к распространению на другие участки. Прыщи могут быть временными и часто появляются во время подросткового периода или при наличии повышенного секреции кожного сала.
Цвет кожных высыпаний

Цвет кожных высыпаний играет важную роль при определении их характера. Он может помочь различить различные виды высыпаний, такие как бородавки и прыщи.
1. Бородавки: Бородавки обычно имеют серый, коричневый или черный цвет. Они часто имеют гранулярную структуру с неровными краями. Обычно бородавки не вызывают боли или зуда, но их цвет может изменяться, особенно при травме или воспалении.
2. Прыщи: Прыщи обычно имеют красный или розовый цвет. Они могут быть воспаленными и болезненными. Прыщи часто имеют гладкую или выпуклую структуру с ярко-красным или белым центром. Они часто появляются на лице, спине или груди, где находятся многофункциональные железы.
Расположение бородавки и прыща

Расположение бородавки:
- Бородавки чаще всего появляются на руках и ногах, особенно на пальцах;
- Они могут также появляться на лице, шее, голове или генитальной области;
- Бородавки имеют склонность к групповому появлению, они могут быть расположены вместе в виде мозаики;
- Бородавки обычно имеют рельефную текстуру и могут выглядеть как маленькие приподнятые узелки на коже;
- Цвет бородавок может быть сероватым, коричневым или пигментированным.
Расположение прыща:
- Прыщи чаще всего возникают в области лица, спины и груди;
- Они могут быть единичными или появляться группами;
- Прыщи имеют обычно покраснение вокруг поврежденной области кожи;
- Они могут быть заполнены гнойным содержимым;
- Прыщи могут быть болезненными при прикосновении или давлении;
- Они могут развиваться из-за повышенного выделения себума в результате забития пор;
- Прыщи могут иметь различные формы и размеры, от маленьких прыщиков до кистозных образований.
Хотя расположение может дать некоторую подсказку, но самый надежный способ определить, является ли это бородавкой или прыщем, — обратиться к врачу-дерматологу. Если у вас есть сомнения или беспокойства относительно любых новых высыпаний на коже, важно получить профессиональную консультацию и рекомендации для правильного лечения и ухода за кожей.
Размер бородавки и прыща

С другой стороны, прыщ обычно имеет более маленький размер в сравнении с бородавкой. Он может быть размером всего 1-2 мм и представляет собой воспаление внутри кожи, вызванное застопоренными порами. Хотя размер прыща может варьироваться в зависимости от его типа и стадии развития, вообще он меньше, чем бородавка.
Важно помнить, что размер не является единственным критерием для определения бородавки или прыща. Другие факторы, такие как внешний вид, текстура и продолжительность присутствия, также могут помочь в идентификации этих двух состояний кожи.
Боль и зуд при дотрагивании
Ощущение боли и зуда при прикосновении к кожным высыпаниям может быть связано с различными причинами. Зуд может возникать в результате дражащего воздействия на рецепторы кожи, в то время как боль может указывать на воспалительный процесс или наличие других патологий.
- Бородавка: при давлении на бородавку возникает неприятное ощущение боли. Бородавка представляет собой новообразование кожи, вызванное вирусом папилломы человека. Ее появление связано с неправильной работой иммунной системы. Бородавки могут быть воспалеными и вызывать дискомфорт при прикосновении. Они обычно имеют характерные черты, такие как грубая или шероховатая поверхность и могут иметь черные точки внутри.
- Прыщ: при дотрагивании к прыщу также может возникать боль или зуд. Простой прыщ обычно вызывает воспаление в месте высыпания, что может привести к болезненности и зуду. Пришло время упомянуть оцекиваровку. Простые прыщи часто содержат гной и могут появляться на лице, спине или других частях тела. Prыщ может выглядеть как маленький красный шарик или остриё в пузырьке.
Если вы испытываете боль или зуд при дотрагивании к кожным высыпаниям, рекомендуется обратиться к врачу, чтобы получить профессиональную консультацию и диагностику. Только опытный специалист сможет определить точную причину этих симптомов и предложить соответствующее лечение.
Продолжительность появления на коже
Продолжительность появления бородавок и прыщей на коже может варьироваться в зависимости от нескольких факторов. Изначально, при появлении бородавок процесс формирования может занимать от нескольких недель до нескольких месяцев. Следует отметить, что каждый организм индивидуален, поэтому время появления бородавок может отличаться.
В отличие от бородавок, прыщи обычно формируются более быстро. Они могут появиться на коже в течение нескольких дней или недель после засорения пор. Кроме того, время заживления прыщей также может быть разным в зависимости от индивидуальных особенностей кожи и степени воспаления.
| Фактор | Бородавки | Прыщи |
|---|---|---|
| Время появления | Могут занимать от нескольких недель до нескольких месяцев | Могут появиться в течение нескольких дней или недель |
| Время заживления | Могут заживать в течение нескольких месяцев | Могут заживать в течение нескольких дней или недель |
Важно помнить, что независимо от времени появления и заживления, важно соблюдать правила гигиены, правильно ухаживать за кожей и проконсультироваться с врачом или дерматологом для получения профессиональной помощи и советов.
Влияние окружающей среды
Окружающая среда имеет значительное влияние на возникновение и развитие бородавок и прыщей на коже. Различные факторы окружающей среды, такие как загрязнение воздуха, уровень влажности, ультрафиолетовое излучение и контакт с различными химическими веществами, могут стать провоцирующими факторами для появления этих кожных проблем.
Загрязнение воздуха
Загрязнение воздуха, вызванное выбросами промышленных предприятий, автотранспортным движением и домашними отопительными системами, может негативно сказываться на состоянии кожи. Вредные вещества, содержащиеся в загрязненном воздухе, могут забивать поры кожи, что приводит к образованию бородавок и прыщей. Кроме того, загрязненный воздух может повысить воспалительные процессы на коже, что способствует появлению прыщей.
Ультрафиолетовое излучение
Воздействие ультрафиолетового излучения на кожу также может способствовать образованию бородавок и прыщей. Ультрафиолетовые лучи вызывают повреждение ДНК кожных клеток, что может привести к их мутации и последующему развитию бородавок. Кроме того, солнечное излучение угнетает иммунную систему кожи и усиливает выработку кожного жира, что может вызывать появление прыщей.
Лечение бородавки и прыща
Лечение бородавки
Бородавки могут быть разных типов и локализоваться на разных частях тела. Основные методы лечения бородавок включают:
-
Фармацевтические препараты. Для местного лечения бородавки можно использовать различные препараты, содержащие салициловую кислоту, жидкий азот или канифоль. Они способствуют разрушению бородавки и уничтожению вируса.
-
Процедуры удаления. Если бородавка слишком большая или не отреагировала на фармацевтическое лечение, то может потребоваться проведение процедур удаления, таких как криодеструкция (замораживание бородавки), электрокоагуляция (удаление бородавки высокочастотным электрическим током) или лазерное удаление.
Лечение прыща
Прыщи часто связаны с избытком кожного жира и активностью сальных желез. Это может быть результатом гормональных изменений, стресса, неправильного питания и других факторов. Лечение прыщей обычно включает:
-
Регулярная очистка кожи. Рекомендуется ежедневно умываться мягким очищающим средством, чтобы удалить излишки кожного жира и мусор, который может засорять поры.
-
Применение местных средств. Такие препараты, как бензоилпероксид, салициловая кислота или ретиноиды, могут помочь сократить воспаление и предотвратить появление новых прыщей.
-
Избегание сжимания и дополнительного раздражения кожи. Сжимание прыщей может привести к ранам и инфекции, поэтому важно избегать этого. Также не стоит часто трогать лицо руками, чтобы не переносить бактерии на кожу.
Лечение бородавки и прыща требует разных подходов. При бородавке можно использовать фармацевтические препараты и проводить процедуры удаления, а прыщи обычно лечатся с помощью регулярной очистки кожи и применения местных средств. В случае сомнений или тяжелых проявлений рекомендуется посетить врача-дерматолога.
Источник — http://mdc51.ru/kak-otlichit-borodavku-ot-pryshha.html