
Лиссэнцефалия — редкое родовое заболевание, характеризующееся врожденными аномалиями головного мозга. У детей с лиссэнцефалией мозг имеет гладкую поверхность вместо обычных извилин и борозд. Это неврологическое расстройство обычно ведет к задержке психомоторного развития и серьезным проблемам со здоровьем. Однако, некоторые случаи показывают, что есть шанс на нормальное развитие у детей с «гладким» мозгом.
Опытные врачи и исследователи на протяжении последних десятилетий изучают эту редкую патологию и пытаются найти способы для лучшего понимания и лечения этого состояния. Благодаря современным методам диагностики, таким как магнитно-резонансная томография (МРТ), специалисты смогли изучить мозг детей с лиссэнцефалией и раскрыть некоторые аспекты его развития.
- Во-первых, стоит отметить, что развитие мозга начинается задолго до рождения ребенка. Первоначальный процесс образования извилин и борозд происходит во втором триместре беременности. Поэтому даже при наличии аномалии структуры мозга у ребенка, существует шанс на нормальное функционирование других частей его головного мозга.
- Во-вторых, мозг — очень пластичный орган и способен компенсировать некоторые нарушения в своей структуре. У детей с лиссэнцефалией были замечены уникальные механизмы адаптации, когда некоторые области мозга перенимали функции у поврежденной части. Это может объяснить, почему некоторые дети с лиссэнцефалией все же достигают нормальных международных показателей развития вплоть до определенного возраста.
Однако все эти факты не означают, что лиссэнцефалия несет в себе сложности и риски для ребенка. Дети с этим состоянием обычно нуждаются в ранней интенсивной реабилитации и медицинском наблюдении, чтобы максимизировать шансы на нормализацию их развития. Он должен основываться на индивидуальных потребностях каждого пациента и включать такие методы, как физическая и речевая терапия, специализированные программы обучения и поддержка специалистов.
Подводя итог, можно сказать, что у детей с лиссэнцефалией есть шанс на нормальное развитие, хотя их мозг имеет плоскую структуру без извилин и борозд. Изучение этого редкого заболевания все еще продолжается, и каждый новый случай помогает нам лучше понять механизмы адаптации и определить оптимальные подходы к реабилитации и поддержке таких детей. Однако важно помнить, что каждый случай уникален, и успех в развитии ребенка зависит от множества факторов, включая индивидуальные особенности и медицинскую помощь, которую получает ребенок.
Что такое лиссэнцефалия?
Лиссэнцефалия представляет собой редкое неврологическое заболевание, характеризующееся аномалией развития мозга. У детей, страдающих от лиссэнцефалии, мозг имеет гладкую поверхность вместо обычных углублений и извилин, что представляет серьезное нарушение нормального формирования мозга.
Обычно развитие мозга происходит в процессе беременности, когда главные извилины и складки мозга формируются для расширения площади поверхности мозга и улучшения его функциональной активности. Однако при лиссэнцефалии этот процесс нарушается, что может привести к серьезным проблемам в развитии и функционировании мозга у ребенка.
|
Примечание: |
Лиссэнцефалия часто сопровождается другими врожденными аномалиями, такими как микроцефалия (уменьшение размера головы), эпилепсия, интеллектуальная недостаточность и проблемы с координацией движений. |
Лиссэнцефалия: определение и причины
Причина лиссэнцефалии обычно связана с генетическими или хромосомными аномалиями, которые возникают во время развития плода. Например, главным генетическим фактором, который может привести к лиссэнцефалии, является мутация гена LIS1, который отвечает за нормальное развитие извилин головного мозга. Кроме того, некоторые хромосомные аномалии, такие как синдромы Волфа-Хиршгорна и Миллера-Дикера, также связаны с развитием лиссэнцефалии.
Основные факты:

- Лиссэнцефалия — это врожденное аномальное развитие мозга, при котором отсутствуют извилины.
- Лиссэнцефалия обычно связана с генетическими или хромосомными аномалиями, такими как мутация гена LIS1.
- Дети с лиссэнцефалией могут иметь серьезные проблемы с развитием и функционированием мозга.
Высказывание:
Лиссэнцефалия — это редкое врожденное расстройство, которое влияет на развитие мозга у детей. Проблема заключается в отсутствии складок на поверхности мозга, что приводит к серьезным нарушениям в его функционировании и развитии. Хотя причины лиссэнцефалии не всегда полностью понятны, исследования указывают на генетические и хромосомные аномалии как основные факторы, способствующие ее возникновению. Более глубокое понимание этой проблемы станет ключом к развитию эффективных методов лечения и поддержки детей с лиссэнцефалией.
Симптомы и диагностика

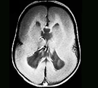
Диагностика лиссэнцефалии обычно основана на сочетании клинических признаков, результатов нейровизуализации и генетических исследований. Нейрологический осмотр может выявить отставание в развитии моторики, замедленную реакцию на звуки и свет, а также атипичные движения. Важную роль в диагностике играют данные нейровизуализации, такие как магнитно-резонансная томография (МРТ) и электроэнцефалограмма (ЭЭГ).
- МРТ: МРТ позволяет визуализировать структуру и анатомию мозга, исследуя его слоистую структуру и наличие извилин и борозд. У пациентов с лиссэнцефалией на МРТ обычно видно отсутствие или минимальное наличие извилин, а также утолщение коры мозга.
- ЭЭГ: ЭЭГ проводится для оценки электрической активности мозга. У большинства пациентов с лиссэнцефалией на ЭЭГ наблюдаются атипичные и неорганизованные электрические сигналы.
| Название исследования | Описание |
|---|---|
| Генетическое исследование | Генетическое исследование может быть проведено для обнаружения мутаций в гене LIS1 или других генах, которые связаны с развитием лиссэнцефалии. |
| Оценка патологической ткани | Иногда пациентам с лиссэнцефалией может быть предложена биопсия мозговой ткани для более подробной оценки патологии. |
Итог: Лиссэнцефалия обычно диагностируется на основе клинической картины, результатов нейровизуализации и генетических исследований. Важные инструменты диагностики включают МРТ и ЭЭГ для оценки структуры и электрической активности мозга соответственно. Генетическое исследование может быть проведено для обнаружения мутаций в генах, а биопсия мозговой ткани может быть предложена для дополнительной оценки мозговой патологии у пациентов с лиссэнцефалией.
Лечение и прогноз
Лечение Лиссэнцефалии зависит от степени и симптомов заболевания. Чаще всего, это невозможно идентифицировать или исправить до рождения ребенка. Однако, существуют различные подходы к лечению, которые могут помочь улучшить качество жизни пациентов.
Физиотерапия и эрготерапия могут быть полезными методами, позволяющими усилить мышцы, улучшить координацию и развить навыки у пациентов. Эти методы могут помочь детям с Лиссэнцефалией стать более самостоятельными и мобильными. Лекарственная терапия может быть также применена для улучшения симптомов, таких как эпилепсия и мышечные судороги.
Важно помнить, что каждый случай Лиссэнцефалии уникален, и прогноз может сильно отличаться в зависимости от степени поражения мозга и индивидуальных особенностей пациента.
| Позитивные факторы | Негативные факторы |
|---|---|
|
|
Образ жизни ребенка с лиссэнцефалией
Ребенок с лиссэнцефалией требует особого образа жизни и заботы. В связи с нарушенным развитием головного мозга, такие дети испытывают серьезные проблемы в плане физического и умственного развития.
Важно понимать, что дети с лиссэнцефалией нуждаются в постоянном наблюдении и уходе, так как обычные действия рискует быть для них опасными. Поэтому семья, образовательное учреждение или специальный уход, должны оказывать ребенку непрерывную поддержку и помощь.
Следующие меры помогут обеспечить комфортное существование ребенка с лиссэнцефалией:
- Регулярные посещения врачей и специалистов, таких как невролог, ортопед, психолог и логопед. Они будут следить за состоянием ребенка и помогать в его развитии.
- Создание специального окружения и ухода в домашних условиях: регулярное обеспечение физической тренировки, соблюдение правильного питания, проведение массажей и упражнений для развития моторики.
- Социальная адаптация с учетом индивидуальных потребностей ребенка. Важно обеспечить ему возможность общаться с другими детьми и получать необходимые знания и навыки.
Важно понимать, что дети с лиссэнцефалией нуждаются в постоянном наблюдении и уходе, так как обычные действия рискует быть для них опасными.
Другими словами, ребенок с лиссэнцефалией требует постоянной заботы и помощи, а также условий, способствующих его физическому и умственному развитию. Специалисты разных областей должны работать вместе, чтобы оказать максимальную поддержку и помощь ребенку и его семье.
Специальные образовательные потребности
Идентификация и учет специальных образовательных потребностей детей является одной из основных задач системы образования. Для этого проводятся диагностические исследования с целью определения индивидуальных потребностей и возможностей каждого ребенка. Определение специальных образовательных потребностей оказывает значительное влияние на выбор и организацию образовательной программы для каждого ребенка.
- Специальные образовательные потребности могут быть вызваны различными факторами, такими как наличие инвалидности, особенности познавательных процессов, поведенческие особенности и т.д.
- Идентификация и учет специальных образовательных потребностей детей является важной задачей образовательной системы.
- Определение специальных образовательных потребностей позволяет разработать индивидуальные образовательные программы для каждого ребенка.
Научные исследования и новые методы лечения лиссэнцефалии
Генная терапия представляет собой метод лечения, при котором в организм пациента вводят ген, который оптимизирует работу его клеток. В случае лиссэнцефалии, ученые исследуют возможность введения гена, который способен привести к нормализации структуры мозга и улучшить его функционирование.
Генная терапия может стать революционным прорывом в лечении лиссэнцефалии, однако исследования в этой области все еще находятся на начальной стадии. Для проведения клинических испытаний требуется дальнейшее совершенствование методов доставки либо генов в мозг, либо изменение клеток внутри мозга таким образом, чтобы они могли самостоятельно уравновешивать свое положение. Этот метод требует множества контролируемых испытаний и безопасности длительной и адекватной эффективности в целом генной терапии в целом
Важным открытием в лечении лиссэнцефалии также является создание функциональных нейрональных путей с использованием технологий тканевой инженерии. Ученые разрабатывают методы, при которых могут быть созданы искусственные нейронные связи внутри мозга. Это может помочь компенсировать функциональные нарушения, вызванные изменениями в структуре гладкого мозга.
Поддержка семей, столкнувшихся с лиссэнцефалией

Важно отметить, что каждая семья, столкнувшаяся с лиссэнцефалией, может иметь уникальные потребности и требования. В связи с этим, разнообразие поддерживающих ресурсов является ключевым в обеспечении помощи этим семьям.
- Организации, специализирующиеся на лиссэнцефалии, предлагают информацию и руководства относительно диагностики, лечения и ухода за детьми с этим заболеванием. Они также поддерживают семьи, связывая их с другими родителями, которые также сталкиваются с аналогичными трудностями.
- Медицинские профессионалы, такие как врачи и терапевты, имеют опыт в работе с детьми с лиссэнцефалией и могут обеспечить руководство и консультации по вопросам лечения и ухода.
- Психологическая поддержка является важной составляющей для семей, столкнувшихся с этим заболеванием. Консультации и терапия могут помочь справиться с эмоциональным стрессом и трудностями, связанными с уходом за ребенком с лиссэнцефалией.
|
Ресурс |
Тип поддержки |
|
Организации, специализирующиеся на лиссэнцефалии |
Информация, руководства, поддержка сообщества |
|
Медицинские профессионалы |
Руководство, консультации, лечение |
|
Психологическая поддержка |
Консультации, терапия, справочники |
Важно отметить, что поддержка семей, столкнувшихся с лиссэнцефалией, должна быть индивидуальной и учитывать их уникальные потребности и требования. Организации, медицинские профессионалы и психологическая поддержка являются ключевыми ресурсами в обеспечении необходимой помощи и информации для таких семей.
Источник — http://mdc51.ru/lissencefaliya-est-li-shans-esli-u-rebenka-gladkij-mozg.html