
Агрегация сперматозоидов – это процесс склеивания сперматозоидов в группы или комок. Это явление медицинской науке известно в течение многих лет, но его точные причины до сих пор не полностью изучены. Агрегация сперматозоидов может наблюдаться как в естественных условиях, так и после процедуры искусственного оплодотворения.
Основной причиной агрегации сперматозоидов может быть нарушение сперматогенеза или нарушение процесса зреления сперматозоидов. Это может быть вызвано различными факторами, включая генетические аномалии, воспалительные процессы в половой системе или патологии внутренних органов. Агрегация сперматозоидов может также происходить при некоторых заболеваниях, например, при варикоцеле или эякуляционных нарушениях.
Также влияние на агрегацию сперматозоидов может оказывать окружающая среда, состав семенной жидкости и физиологические условия самой спермы.
Статистика показывает, что проблемы с агрегацией сперматозоидов встречаются у 20-30% пар, имеющих проблемы с оплодотворением. Пациентам с агрегацией сперматозоидов рекомендуется проводить дополнительные обследования и консультации у уролога-андролога или репродуктолога.
Если вам была поставлена диагноз агрегации сперматозоидов, не паникуйте. Обращение к квалифицированному специалисту поможет определить точную причину и предложить наиболее эффективный способ решения проблемы. В большинстве случаев, использование современных методов лечения и технологий, позволяет добиться положительного результата и осуществить задуманную беременность.
| Причины агрегации сперматозоидов: | Что делать при агрегации сперматозоидов: |
| Генетические аномалии | Обратиться к урологу-андрологу |
| Воспалительные процессы в половой системе | Провести дополнительные обследования |
| Патологии внутренних органов | Консультация репродуктолога |
| Варикоцеле | Использование современных методов лечения |
| Эякуляционные нарушения |
Агрегация сперматозоидов: суть, причины, действия

Агрегация сперматозоидов представляет собой процесс склеивания или слияния нескольких сперматозоидов в одну общую структуру. Хотя это явление довольно редкое, оно может возникать по разным причинам и иметь различные последствия.
Первая причина агрегации сперматозоидов может быть связана с нарушениями в процессе образования и созревания спермы. Например, мутации или генетические изменения могут привести к образованию аномальных сперматозоидов, которые легко слипаются друг с другом. Также нарушение работы органов репродуктивной системы может вызвать образование агрегатов.
Слипание сперматозоидов может оказывать как положительное, так и отрицательное влияние на репродуктивное здоровье. В некоторых случаях агрегация сперматозоидов может улучшить их двигательность и способность проникать в яйцеклетку, что способствует успешному зачатию. Однако в других случаях агрегация может препятствовать свободному движению спермы и воспроизводству.
Что представляет собой агрегация сперматозоидов
Агрегация сперматозоидов обусловлена различными факторами. Один из них — нарушение процесса созревания сперматозоидов в половой секреции. Это может быть вызвано изменениями в качестве эякулята, нарушением функций эпидидимиса или связанных с ним органов, а также влиянием внешних факторов, таких как стресс, неправильное питание и другие негативные воздействия.
Агрегация сперматозоидов может оказывать различное воздействие на репродуктивную систему мужчины. С одной стороны, она может приводить к уменьшению сперматогенеза и к снижению вероятности зачатия. С другой стороны, агрегация сперматозоидов может быть связана со вспышками активности сперматозоидов, что может положительно сказаться на репродуктивной функции мужчины.
Причины агрегации сперматозоидов

- Неправильная функция организма. Некоторые мужчины могут иметь генетические или врожденные аномалии, которые приводят к агрегации сперматозоидов. Например, мутации генов, контролирующих образование спермы, могут вызывать неправильное развитие сперматозоидов и их склонность к агрегации.
- Инфекции. Некоторые инфекции, такие как семенной пузырь и инфекции мочеполовой системы, могут вызывать агрегацию сперматозоидов. Это происходит из-за воспаления, которое может повредить клетки спермы и вызвать их склеивание.
- Окружающая среда. Факторы окружающей среды, такие как повышенные уровни температуры или воздействие токсических веществ, могут также способствовать агрегации сперматозоидов. Высокая температура может влиять на структуру и свойства сперматозоидов, делая их более склонными к склеиванию.
- Стресс и плохие привычки. Стресс, плохое питание, курение и употребление алкоголя могут оказывать негативное влияние на сперматозоиды и способствовать их агрегации. При этом сперма может стать менее подвижной и менее способной к оплодотворению.
Если обнаружена агрегация сперматозоидов, важно обратиться к специалисту для проведения дополнительных исследований и выяснения причин данного состояния. Лечение может включать коррекцию основных причин, таких как лечение инфекции или коррекция генетических аномалий. Также можно принять меры для улучшения общего здоровья, такие как соблюдение правильного питания, отказ от вредных привычек и снижение уровня стресса.
Влияние агрегации на репродуктивное здоровье
Агрегация сперматозоидов может оказывать отрицательное влияние на репродуктивное здоровье мужчины. Во-первых, агрегация может привести к снижению подвижности сперматозоидов. При объединении в группы сперматозоиды теряют свою естественную способность к движению, что снижает их вероятность проникновения в яйцеклетку и омрачает шансы на успешное зачатие.
Кроме того, агрегация сперматозоидов может приводить к нарушению формы и структуры самого сперматозоида. Образование агрегатов сперматозоидов может оказывать механическое воздействие на клетки, вызывая их мутацию и повреждение. Это может негативно сказаться на качестве спермы и способности к оплодотворению. Также, агрегация сперматозоидов может увеличивать риск возникновения воспалительных процессов в половой системе мужчины и способствовать развитию инфекции.
| Признаки репродуктивного нарушения: | Влияние агрегации |
|---|---|
| Снижение подвижности сперматозоидов | Из-за агрегации сперматозоиды теряют способность к движению, что затрудняет проникновение в яйцеклетку |
| Нарушение формы и структуры сперматозоидов | Агрегация может повредить клетки и привести к их мутации, что отрицательно сказывается на способности к оплодотворению |
| Риск инфекций и воспалительных процессов | Агрегация способствует развитию инфекций и может вызывать воспалительные процессы в половой системе мужчины |
Агрегация сперматозоидов может стать причиной репродуктивного нарушения, снижения шансов на успешное зачатие и повреждения клеток. Регулярный медицинский контроль и профилактические меры направленные на поддержание здоровья репродуктивной системы, могут помочь избежать возможных проблем, связанных с агрегацией сперматозоидов.
Как определить агрегацию сперматозоидов
Существует несколько способов определения агрегации сперматозоидов:
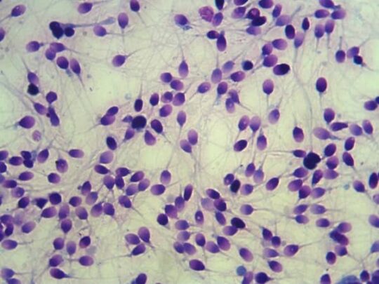
- Визуальный осмотр: при визуальном осмотре под микроскопом можно заметить крупные сгустки спермы, образованные из-за агрегации сперматозоидов. Это может быть признаком проблем со спермой и может требовать дальнейшего исследования.
- Микроскопическое исследование: при помощи специального метода микроскопии можно более точно определить агрегацию сперматозоидов. Специалист может использовать различные окраски и фиксативы, чтобы лучше видеть кластеры и сгустки спермы. Это позволяет получить более детальную информацию о степени агрегации и ее влиянии на сперму.
- Лабораторные тесты: для более точной оценки агрегации сперматозоидов могут проводиться специальные лабораторные тесты. Например, тест на проницаемость барьера сперматозоидов, который позволяет определить, насколько хорошо сперматозоиды могут проникать через густую среду. Также могут использоваться другие тестирующие методы для оценки мотильности и жизнеспособности сперматозоидов, которые могут быть затронуты агрегацией.
Если вы обнаружили агрегацию сперматозоидов при анализе спермы, рекомендуется обратиться к врачу-андрологу или урологу. Они смогут проконсультировать вас по данному вопросу, провести нужные исследования и назначить соответствующее лечение, если оно необходимо.
Последствия агрегации сперматозоидов для зачатия
Когда сперматозоиды агрегируются, они не могут самостоятельно проникнуть через защитные барьеры внутри женской репродуктивной системы, чтобы достичь яйцеклетки. Агрегация может вызывать нарушение нормальной подвижности и движение вместе с другими сперматозоидами может быть затруднено. Это существенно снижает вероятность успешного оплодотворения.
- Агрегация сперматозоидов также может привести к нарушению контакта между сперматозоидами и яйцеклеткой, что усложняет слияние этих двух клеток. Нормальное взаимодействие сперматозоида и яйцеклетки является критическим для успешного зачатия;
- Биологических причин аггрегации много. Часто она связана с высоким уровнем вязкости спермы или изменением ее химического состава;
- Агрегация сперматозоидов может быть обусловлена различными факторами, такими как нарушения в развитии, молекулярные дефекты или неправильное функционирование органов репродуктивной системы.
Важно отметить, что агрегация сперматозоидов не всегда означает полную бесплодие. В некоторых случаях она может быть временной или лечению поддающейся. Важно обратиться к специалисту для оценки причины агрегации сперматозоидов и определения наиболее подходящего лечения для достижения успешного зачатия.
Способы предотвращения агрегации сперматозоидов
Агрегация сперматозоидов может быть причиной бесплодия у мужчин. Чтобы предотвратить этот процесс, можно применять различные методы, включая изменение образа жизни, применение медицинских препаратов и специальных техник.
Изменение образа жизни

- Отказ от курения и употребления алкоголя: Никотин и алкоголь могут негативно влиять на качество спермы и способы производства. Избегайте этих вредных привычек, чтобы улучшить свою репродуктивную систему.
- Правильное питание: Питайтесь сбалансировано и употребляйте продукты, содержащие витамины и микроэлементы, необходимые для нормального функционирования репродуктивной системы.
- Умеренная физическая активность: Профессиональные спортсмены или люди, занимающиеся тяжелыми физическими нагрузками, могут испытывать проблемы с агрегацией сперматозоидов. Регулируйте свою физическую активность, чтобы не навредить своей сперме.
Медицинские препараты и техники
- Применение противовоспалительных и антибактериальных препаратов: Если агрегация сперматозоидов вызвана воспалением или инфекцией, назначение соответствующих препаратов поможет решить эту проблему.
- Использование спермариев: Спермарии – это средства, предназначенные для разжижения спермы и предотвращения ее агрегации. Они содержат специальные вещества, которые разлагают сперматозоиды и улучшают их подвижность.
- Искусственное оплодотворение: Если все другие методы не помогают, медицинский специалист может предложить искусственное оплодотворение, при котором сперматозоиды будут введены непосредственно в яйцеклетку, минуя проблему агрегации.
Методы лечения агрегации сперматозоидов
Одним из основных методов лечения агрегации сперматозоидов является индивидуальный подход к каждому пациенту. Врач проводит специальные исследования, чтобы определить причину агрегации и на основе полученных данных устанавливает план лечения. В зависимости от причин агрегации, могут быть назначены различные процедуры и препараты.
Кроме того, врачи часто рекомендуют изменение образа жизни и диеты пациента. Они могут советовать отказаться от плохих привычек, таких как курение и употребление алкоголя, а также регулярно заниматься физической активностью и правильно питаться. Это помогает улучшить общее состояние организма и способствует уменьшению агрегации сперматозоидов.
Источник — http://mdc51.ru/obnaruzhena-agregaciya-spermatozoidov-prichiny-i-dejstviya.html