Объем мирового рынка иммуно-онкологических тестов достиг 6 млрд долларов

ОтделновостейРастущее бремя онкологических заболеваний обеспечивает неуклонно повышающийся спрос на иммуно-онкологические тесты. К 2034 году рынок может увеличиться почти в три раза, до 16,85 млрд долл. Фото: 123rf.com Объем мирового рынка иммуно-онкологических анализов в 2025 году достиг 6 млрд долл. Больше половины пришлось на североамериканский регион. По прогнозам Fortune Business Insights, показатель покажет среднегодовой темп роста …

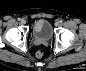
МРТ мочевыделительной системы: принципы метода и условия проведения исследования

МРТ мочевыделительной системы представляет неинвазивный метод визуализации почек, мочеточников и мочевого пузыря. Метод обеспечивает высокую контрастность мягких тканей, не использует ионизирующее излучение и может применяться как в диагностике, так и в мониторинге состояний после терапии. Точное описание методики, подготовки и интерпретации результатов имеет значимое значение для правильной трактовки снимков и планирования дальнейших действий. Оценка проводится …

Небулайзеры для взрослых: обзор моделей и оптовых вариантов поставки

Небулайзеры для взрослых: обзор моделей и оптовых вариантов поставки

Небулайзеры занимают важную роль в дыхательной поддержке взрослых пациентов. В рамках оптовых закупок медицинского оборудования анализируются модели, требования к качеству и обслуживание, а также совместимость с лекарственными растворами и регуляторные требования. В фокусе — устойчивость поставок, доступность запасных частей и сроки поставки при разных сценариях применения. Подбор поставщиков и формирование ассортимента требуют учета технологических особенностей …

Подсчет калорий по фото: быстрый расчет КБЖУ через чат-бота с искусственным интеллектом в мессенджере

Подсчет калорий по фото: быстрый расчет КБЖУ через чат-бота с искусственным интеллектом в мессенджере

Подсчет калорий по фото — тема, близкая к быстрому расчёту КБЖУ через AI-бота в мессенджерах. Такой подход опирается на анализ изображения блюда и сопоставление полученных данных с базами нутриентов. В тексте рассматриваются принципы работы, ограничения и примеры применения, без рекламной подачи и упоминания конкретного города или цены. Для широкой аудитории доступен ряд инструментов, позволяющих автоматически …

Эксперты Минздрава РФ рассказали о погруженных в Программу госгарантий новых видах ВМП

ОтделновостейС 2026 года россиянам стали доступны в рамках базовой программы ОМС 15 видов высокотехнологичной медпомощи. О важности этих методов рассказали специалисты Минздрава РФ.  Фото: 123rf.com В Программу государственных гарантий (ПГГ) в 2026 году погружены 15 новых видов высокотехнологичной медпомощи (ВМП) с целью упростить гражданам доступ к сложным и дорогостоящим методам лечения в рамках базовой программы …

МРТ с контрастом: принципы проведения и подготовка к исследованию

МРТ с контрастом: принципы проведения и подготовка к исследованию

МРТ с контрастом относится к современным методам визуализации, позволяющим детальнее оценивать мягкие ткани и органы. Контрастное вещество вводится внутривенно и улучшает визуализацию участков с повышенной проницаемостью или усилением кровотока, что помогает различать патологические изменения от нормы. Использование контраста требует оценки риска и подготовки, чтобы обеспечить информативность снимков и безопасность пациента. Подробнее о подготовке и проведении …

Кровати по ценам производителя обзор ассортимента и критерии выбора

Кровати по ценам производителя обзор ассортимента и критерии выбора

Стратегия снижения затрат на покупку кровати в канале прямого производства основывается на анализе особенностей материалов, конструкции и условий поставки. Рассматриваются варианты без посредников, а также подходы к выбору моделей, которые удовлетворяют требованиям прочности и долговечности без избыточной надбавки за бренд. Подробности можно узнать на mavery.ru, где представлены примеры моделей и условия поставки. Особенности выбора кровати …

Лечение остеохондроза в санаториях — обзор эффективных программ реабилитации

Лечение остеохондроза в санаториях — обзор эффективных программ реабилитации

Остеохондроз шейного отдела позвоночника рассматривается как многофакторная патология, требующая сочетания диагностики, консервативной терапии и реабилитации. В санаториях применяют комплексные программы, включающие физиотерапевтические процедуры, лечебную физкультуру, массаж и режим дня. Такие подходы нацелены на снижение боли, восстановление функции и профилактику повторных обострений. Основа составляющих программ — принципы доказательной медицины, индивидуальная адаптация нагрузок и строгий контроль безопасности. …

Пищевые консерванты повышали риск развития рака

ИринаЛаринаЧрезмерное потребление пищевых консервантов, широко используемых в переработанных продуктах питания и напитках, оказалось связано с повышенным риском развития рака. В перспективе может потребоваться пересмотр правил, регулирующих использование этих добавок в пищевой промышленности. Фото: 123rf.com Ученые из Университета Сорбонна Париж Норд и Университета Париж Сите оценили связь между потреблением пищевых консервантов и риском развития онкологических заболеваний …

Выкуп оборудования для общепита бывшего в употреблении: что нужно знать

Выкуп оборудования для общепита бывшего в употреблении: что нужно знать

Рассматривается практика выкупа бывшего в употреблении оборудования, применяемого в общепите, как механизм обновления парка техники и управления активами. В материалах освещаются принципы формирования предложения, условия передачи и распределение ответственности между сторонами сделки, а также факторы, влияющие на ликвидность и пригодность техники для повторного использования. Информационные подходы к рынку включают анализ классификации активов, их технического состояния …