
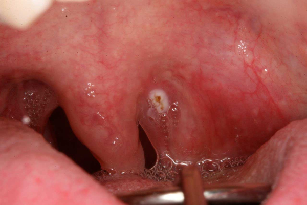
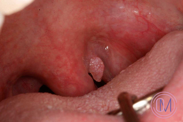
Папиллома на язычке в горле – это необычное образование, которое может вызвать дискомфорт и стать причиной различных проблем в организме. Несмотря на то что папилломы языка являются редким явлением, они требуют внимательности и своевременного лечения.
Главным симптомом папилломы на язычке является чувство дискомфорта и изменение вкуса. Обычно, папиллома представляет собой небольшую опухоль, имеющую шероховатую структуру. Из-за таких особенностей, пациент может испытывать трудности при глотании, разговоре или просто ощущать неприятные ощущения даже в состоянии покоя.
- Симптомы папилломы на язычке в горле:
- Дискомфорт и боль в язычке;
- Изменение вкусовых ощущений;
- Проблемы при глотании и разговоре;
- Нездоровый вид языка;
- Кровоточивость языка;
- Повышенное слюноотделение;
Для лечения папилломы на язычке в горле требуется профессиональное диагностирование и проведение комплексного лечения. На начальной стадии, папиллому могут удалить с помощью лазерного воздействия или электрохирургического метода. Однако, в некоторых случаях может потребоваться хирургическое вмешательство под местной или общей анестезией.
Важно знать: самолечение папилломы на язычке в горле может привести к негативным последствиям, включая повышенное кровотечение и инфекционные осложнения. Поэтому, при возникновении подозрительных симптомов, рекомендуется обратиться к специалисту для профессиональной консультации и лечения.
Проблема образования папиллом на язычке в горле
Симптомы возникновения папиллом на язычке в горле включают боль при глотании, затрудненное дыхание, кашель и изменение голоса. Они могут привести к серьезным последствиям, таким как закрытие дыхательных путей или ухудшение качества жизни пациента. Лечение папиллом на язычке в горле может включать различные методы, включая хирургическое удаление опухоли, криотерапию, электрокоагуляцию или применение лекарственных препаратов, направленных на подавление вирусной активности. В случае если опухоль является злокачественной, может потребоваться дополнительная химиотерапия или лучевая терапия.
| Симптомы | Лечение |
|---|---|
| Боль при глотании | Хирургическое удаление опухоли |
| Затрудненное дыхание | Криотерапия |
| Кашель | Электрокоагуляция |
| Изменение голоса | Применение лекарственных препаратов |
Распространенные симптомы папиллом на язычке в горле
Папилломы на язычке в горле могут вызывать несколько характерных симптомов, которые могут быть распознаны без дополнительного обследования. Вот некоторые из них:
- Болезненное глотание: Пациенты с папилломами на язычке в горле могут испытывать дискомфорт или болезненность при глотании пищи или жидкости. Это может быть связано с наличием опухолей, которые создают препятствия на пути пищи.
- Изменение голоса: Некоторые пациенты могут заметить изменение своего голоса, которое может быть связано с наличием папиллом на голосовых складках или вокруг них. Голос может звучать хриплым или низким, что может быть вызвано сдавленностью или деформацией голосовых складок.
- Дискомфорт или боль в горле: Папилломы на язычке в горле могут вызывать дискомфорт или боль в области горла. Это может быть связано с раздражением, воспалением или сдавлением тканей вокруг папилломы.
Если у вас есть подозрение на наличие папилломы на язычке в горле, рекомендуется обратиться к врачу для проведения диагностики и назначения соответствующего лечения.
Возможные причины появления папиллом на язычке в горле
- ВПЧ: Один из наиболее распространенных и известных факторов, вызывающих папилломы, это инфекция вирусом папилломы человека (ВПЧ). ВПЧ может передаваться контактным путем, в основном через половой контакт, но также может передаваться через режущие предметы или предметы повседневного использования.
- Слабый иммунитет: Если иммунная система ослаблена или подавлена, она может быть менее эффективной в борьбе с вирусом ВПЧ. Это может привести к появлению папиллом на язычке в горле.
- Травмы и раздражение: Механическое раздражение или повреждение слизистой оболочки в горле также может стать причиной появления папиллом на язычке. Например, постоянное трение языка о зубы или острые края зубных протезов может способствовать их образованию.
Важно отметить, что самостоятельно установить точную причину появления папиллом на язычке в горле практически невозможно. Поэтому, если у вас есть подозрения на наличие папиллом на язычке, важно обратиться к врачу для оценки симптомов, диагностики и определения оптимального лечения.
Диагностика папиллом на язычке в горле

Диагностика папиллом на язычке в горле включает в себя несколько этапов, которые помогают обнаружить и определить характер патологии.
Важным компонентом диагностики является обследование врача-оториноларинголога. Во время осмотра врач внимательно изучает полость рта и горло пациента с помощью зеркала и инструментов. Папилломы на язычке в горле могут иметь различный внешний вид и располагаться на разных участках языка, поэтому при осмотре врач должен пристально обращать внимание на детали. Он может использовать бинокулярный лупу для более детального изучения патологического очага.
| Метод | Описание |
|---|---|
| Фиброларингоскопия | Метод, позволяющий исследовать горло, голосовые связки, язык с помощью оптических волокон. Позволяет получить детальное изображение папиллом на язычке в горле и оценить их степень воспаления и размеры. |
| Бактериологическое исследование | Позволяет выявить возбудителей инфекционных заболеваний, которые могут способствовать развитию папиллом на язычке в горле. |
| Биопсия | Позволяет получить образец тканей патологического очага для последующего исследования под микроскопом. Это позволяет определить характер папилломы и исключить возможность злокачественного процесса. |
Важно отметить, что самостоятельная диагностика папиллом на язычке в горле невозможна. Только врач может правильно определить наличие и степень развития данного заболевания. Поэтому, при первых подозрениях на папилломы в данной области необходимо обратиться за консультацией к специалисту.
Как избежать заражения вирусом, вызывающим папилломы на язычке в горле
Папилломы на язычке в горле обусловлены вирусом папилломы человека (ВПЧ), который передается через контакт кожи или слизистой с зараженным человеком. Чтобы избежать заражения этим вирусом и развития папиллом на язычке в горле, рекомендуется соблюдать следующие меры предосторожности:
- Избегайте близкого контакта с людьми, у которых есть папилломы на язычке в горле. Если у вас есть подозрения, что кто-то может иметь эту инфекцию, избегайте поцелуев, общей посуды и ножей, использования их личных предметов (например, зубных щеток) или общего инструмента для удаления папиллом, такого как пинцет.
- Используйте презервативы при половом контакте, чтобы снизить риск передачи ВПЧ через сексуальное поведение. Однако стоит отметить, что ВПЧ может передаваться не только половым контактом, поэтому презервативы не обеспечат полной защиты.
Важно помнить, что большинство случаев ВПЧ не приводят к развитию папиллом на язычке в горле. Однако соблюдение этих мер предосторожности поможет снизить риск заражения и развития данного состояния.
Важно: Если у вас есть подозрения на наличие папиллом на язычке в горле или любых других заболеваний горла, обратитесь к врачу для диагностики и лечения. Только профессиональный медицинский совет может обеспечить точный диагноз и назначить соответствующее лечение.
Лечение папиллом на язычке в горле: методы и процедуры

Папилломы на язычке в горле представляют определенные проблемы для пациента и требуют особого внимания в процессе лечения. Существует несколько методов и процедур, которые помогают справиться с этим заболеванием и достичь полного выздоровления.
- Хирургическое удаление папиллом: данный метод является наиболее эффективным способом избавления от папиллом на язычке в горле. Хирургическая процедура включает в себя удаление папилломы с помощью лазера или специальных инструментов. Это позволяет полностью удалить патологический образование и предотвратить его возрождение. Операция проводится под местным обезболиванием и занимает небольшой промежуток времени.
- Медикаментозное лечение: для маленьких и одиночных папиллом на язычке в горле, врач может рекомендовать использование лекарственных препаратов, содержащих вещества с противовирусным и иммуномодулирующим действием. Они помогают устранить папиллому и укрепить иммунитет, что способствует предотвращению рецидивов.
Важно: Для эффективного лечения папиллом на язычке в горле необходимо обратиться к врачу-отоларингологу. Самолечение может привести к негативным последствиям и возникновению осложнений.
Помимо основных методов и процедур, важно следовать ряду рекомендаций и предосторожностей, чтобы ускорить процесс выздоровления и предотвратить повторное появление папиллом. Врач может порекомендовать воздерживаться от курения, избегать острых и кислых продуктов, соблюдать правила гигиены полости рта, принимать витаминные и иммуномодулирующие препараты. Также регулярные посещения врача для контроля и профилактических осмотров являются важной частью успешного лечения папиллом на язычке в горле.
Комплексная реабилитация после удаления папиллом на язычке в горле
После удаления папиллом на язычке в горле необходимо провести комплексную реабилитацию, включающую несколько этапов. В первую очередь, пациенту следует придерживаться особых рекомендаций, чтобы предотвратить повторное возникновение папиллом и ускорить заживление раны. Важно соблюдать гигиену полости рта, регулярно промывать ротовую полость антисептическим раствором и не употреблять пищу, которая может травмировать язык или горло.
| Этап реабилитации | Рекомендации |
|---|---|
| Послеоперационный период |
|
| Восстановительный период |
|
Следует отметить, что реабилитационный период после удаления папиллом на язычке в горле может быть индивидуальным, и его продолжительность зависит от сложности операции и общего состояния здоровья пациента. Поэтому важно постоянно общаться с врачом, соблюдать все его рекомендации и не пропускать назначенные визиты к специалисту.
Важность своевременного обращения к врачу и профилактика папиллом на язычке в горле

- Симптомы папиллом на язычке в горле: самый очевидный признак этого заболевания — наличие бородавчатых образований на язычке и в горле. Они могут быть белого или серого цвета и иметь цветовую неравномерность. Кроме того, могут наблюдаться симптомы, такие как затруднение глотания, боль и дискомфорт при разговоре и поедании пищи, кровоточивость при касании папилломы.
- Своевременное обращение к врачу — это первый шаг в правильном направлении для лечения папиллом на язычке в горле. Специалист проведет необходимое обследование и поставит правильный диагноз, основываясь на симптомах и результатах лабораторных исследований. Затем будет предложено лучшее лечение, которое может включать хирургическое удаление папилломы, облучение или применение лекарственных препаратов.
Профилактика папиллом на язычке в горле:
- Следуйте правильной гигиене полости рта, регулярно чистите зубы и язык.
- Избегайте тесного контакта с людьми, страдающими папилломами на язычке в горле, и не используйте их личные предметы гигиены.
- Укрепляйте иммунную систему путем правильного питания, физической активности и умеренного употребления алкоголя.
- Следите за здоровьем ротовой полости и регулярно проходите обследование у стоматолога.
Источник — http://mdc51.ru/papilloma-na-yazychke-v-gorle-simptomy-i-lechenie.html