
Папилломы на половых губах могут быть проблемой для беременных женщин. Они могут вызывать дискомфорт и оказать негативное влияние на роды. Поэтому важно знать симптомы и доступные методы лечения данного заболевания во время беременности.
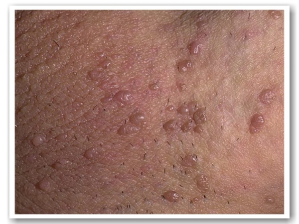
Папилломы представляют собой небольшие выросты на половых губах, которые могут иметь различный размер и форму. Они могут быть ровными или иметь каплевидную форму. У папиллом розовато-белый цвет, они могут выделяться едва заметными или иметь гладкую поверхность. Во время беременности папилломы на половых губах вырастают и могут возникать на свежих местах.
Симптомы папиллом на половых губах могут варьироваться в зависимости от их размера и количества. Часто они проявляются в виде зуда, жжения и боли в области половых губ. Папилломы также могут вызывать кровоточивость во время полового акта или мочеиспускания. Некоторые женщины могут заметить появление симптомов перед самыми родами, что может затруднить процесс родов.
Лечение папиллом на половых губах во время беременности
При обнаружении папиллом на половых губах во время беременности, важно обратиться к врачу, чтобы получить консультацию и назначить адекватное лечение. Несмотря на то, что папилломы могут исчезнуть самостоятельно после родов, их удаление перед родами может предотвратить возможные осложнения.
Существует несколько методов удаления папиллом на половых губах. Это может включать криодеструкцию, хирургическое удаление, электрокоагуляцию или применение лекарственных средств. Уточнение метода лечения будет зависеть от состояния и индивидуальных особенностей пациента.
- Криодеструкция: метод, при котором папилломы замораживаются с помощью жидкого азота. Этот метод обычно безопасен и не наносит вреда здоровым тканям.
- Хирургическое удаление: это процедура, при которой папилломы удаляются с помощью ножа или лазера. При этом может потребоваться использование обезболивающих средств.
- Электрокоагуляция: метод, при котором папилломы удаляются с помощью высокочастотного электрического тока. Он способен позволить точное удаление папиллом без кровотечения.
Важно отметить, что любая процедура лечения папиллом на половых губах во время беременности должна быть проведена под наблюдением квалифицированного врача, чтобы избежать возможных негативных последствий для матери или ребенка.
Папилломы на половых губах при беременности: симптомы и лечение
Папилломы на половых губах могут быть причиной недомогания и беспокойства у беременных женщин. Это обычное явление, связанное с изменениями внутри организма во время беременности. Данный вид папиллом вызывается вирусом папилломы человека (ВПЧ) и может иметь внешний вид небольших бугорков или бородавок на половых губах. Они могут быть как одиночными, так и группироваться в кластеры.
Симптомы папиллом на половых губах включают зуд, жжение, раздражение, а иногда и кровотечение при физическом контакте. У беременных женщин с папилломами на половых губах возможен риск передачи вируса ВПЧ ребенку во время родов. Поэтому рекомендуется проконсультироваться с врачом и обсудить возможные методы профилактики.
Предосторожности и методы лечения
- Важно внимательно следить за гигиеной и бороться с любыми факторами, которые могут спровоцировать развитие папиллом на половых губах;
- Очень важно пройти обследование у гинеколога, чтобы убедиться в том, что папилломы не являются следствием онкологии. Гинеколог может провести дополнительное обследование и определить необходимость лечения;
- Эффективными методами лечения являются криодеструкция и электрокоагуляция. Они позволяют удалить папилломы с минимальным вредом для беременности.
Важно соблюдать все рекомендации врача и следить за своим здоровьем во время беременности. Если у вас появилась папиллома на половых губах, необходимо обратиться к врачу, чтобы получить профессиональную помощь и рекомендации по лечению. Ваш врач подберет наиболее безопасный и эффективный метод удаления папиллом с учетом вашего состояния и стадии беременности.
| Преимущества лечения | Недостатки лечения |
|---|---|
|
|
Симптомы появления папиллом

Папилломы на половых губах при беременности могут быть неприятной проблемой для будущих мам. Симптомы появления папиллом могут варьироваться в зависимости от типа вируса папилломы человека (ВПЧ), который вызвал их появление. Однако, обычно симптомы включают:
- Образование маленьких, плоских бородавок или выростов на половых губах;
- Выпуклые или пупырышковые образования, похожие на цветочный бутон, на половых губах;
- Перистистые или веретенообразные вырости, похожие на вережку на половых губах;
- Образование больших, грубых бородавок или выростов на половых губах;
- Кожные выступы, имеющие светлый или темный цвет;
- Болезненность или зуд в области папиллом на половых губах.
Важно отметить, что не всегда симптомы папиллом возникают сразу после заражения вирусом ВПЧ. Симптомы могут проявиться через несколько недель или месяцев после заражения, и иногда могут даже отсутствовать в течение длительного времени. Поэтому важно регулярно проводить осмотр половых органов и немедленно консультироваться с врачом при обнаружении вышеописанных признаков папиллом на половых губах.
Влияние беременности на появление папиллом
Во время беременности уровень эстрогена и прогестерона в организме женщины значительно повышается. Это может привести к усилению роста и размножению определенных вирусов, таких как вирус папилломы человека (ВПЧ). ВПЧ – это вирус, который вызывает образование папиллом и может передаваться половым путем.
Изменения в гормональном балансе и иммунной системе во время беременности могут способствовать активации вируса папилломы человека и вызывать появление папиллом на половых губах.
Беременность создает благоприятную среду для роста и размножения вируса папилломы человека, что может привести к образованию новых папиллом и увеличению размеров существующих.
Проблемы, связанные с папилломами во время беременности

Одной из основных проблем, связанных с папилломами на половых губах во время беременности, является возможность передачи вируса папилломы человека (HPV) от матери к ребенку при процессе родов. Это может привести к появлению папиллом на ротовой полости или гортани у ребенка. Поэтому, когда у женщины находят папиллому на половых губах во время беременности, необходимо проконсультироваться с врачом о возможных способах профилактики передачи вируса ребенку.
| Проблемы, связанные с папилломами во время беременности | Рекомендации |
|---|---|
| Физический дискомфорт | Подберите мягкую и комфортную одежду, которая не будет натирать папилломы. Избегайте натирания и трения области с папилломами. |
| Эмоциональный дискомфорт | Обратитесь за поддержкой к своему партнеру, семье или друзьям. Поговорите с врачом о возможных методах лечения папилломы после родов. |
| Возможность передачи вируса ребенку | Врач может провести обследование ребенка после родов для выявления папиллом и рекомендовать дополнительные меры профилактики. |
Важно помнить, что папилломы на половых губах во время беременности не являются редким явлением, и многие женщины успешно проходят лечение и роды без осложнений. Но необходимо следить за состоянием папиллом и соблюдать рекомендации врача для минимизации рисков передачи вируса.
Возможные последствия для ребенка
Наличие папиллом на половых губах у беременной женщины может иметь негативные последствия для ребенка. Во-первых, папилломы могут быть источником инфекции, особенно если они повреждаются или становятся воспаленными. Это может привести к развитию вирусной инфекции у ребенка, такой как папилломавирусная инфекция (ПВИ).
ПВИ может вызывать различные заболевания у новорожденного, включая папилломатоз (образование папиллом на коже и слизистых оболочках) и кондиломы (обширные папилломы, похожие на цветки капусты). Эти заболевания могут быть причиной косметических дефектов, нарушений функции органов и способности питания.
| Возможные последствия для ребенка: | Симптомы и осложнения |
|---|---|
| Папилломатоз | Образование папиллом на коже и слизистых оболочках |
| Кондиломы | Обширные папилломы, похожие на цветки капусты |
| Косметические дефекты | Изменения внешности ребенка, такие как рост неестественных образований на коже и слизистых оболочках |
| Нарушение функции органов | Возможные проблемы с дыхательной, пищеварительной или мочевыделительной системой |
| Способность к питанию | Затруднения при грудном вскармливании или приеме пищи |
Важно отметить, что не все дети, родившиеся от женщин с папилломами на половых губах, будут иметь описанные осложнения. Однако, важно обратиться за медицинской помощью, чтобы уменьшить риск возникновения этих последствий и обеспечить правильное лечение для матери и ребенка.
Методы лечения папиллом
Лечение папиллом на половых губах при беременности можно проводить с помощью ряда методов, включая медикаментозную терапию, хирургическое вмешательство и применение лекарственных препаратов на народной основе.
- Медикаментозная терапия: Врач может назначить препараты в виде мазей, кремов или растворов, которые содержат вещества, способные снизить рост папиллом и устранить их симптомы. Обычно используются препараты, содержащие кислоту или местные иммуностимуляторы. Важно учитывать то, что некоторые лекарственные препараты не рекомендуется использовать во время беременности, поэтому всегда следует проконсультироваться с врачом.
- Хирургическое вмешательство: Если папилломы на половых губах причиняют угнетение или вызывают дискомфорт, врач может предложить удалить их с помощью хирургического вмешательства. Процедура может включать электрохирургию, лазерное удаление, криодеструкцию или эксцизию папиллом. Врач выбирает метод в зависимости от характеристик и размеров папиллом, а также отзывов пациента.
- Лекарственные препараты на народной основе: Для лечения папиллом многие используют народные средства, которые могут помочь снизить рост папиллом и смягчить их симптомы. Например, можно применить мазь из череды или настойку календулы. Однако стоит отметить, что эффективность таких методов не подтверждена клиническими испытаниями, их применение следует обсудить с врачом.
Резюмируя: Лечение папиллом на половых губах при беременности может включать медикаментозную терапию, хирургическое удаление или применение лекарственных средств на народной основе. Важно обратиться к врачу для подбора наиболее подходящего метода лечения, с учетом индивидуальных особенностей пациента и показаний. В случае беременности необходимо учитывать допустимость использования лекарственных препаратов для будущей мамы и растущего плода. Народные средства могут быть эффективными для смягчения симптомов, однако их применение следует согласовать с врачом.
Безопасные методы лечения папиллом на половых губах во время беременности
Во время беременности женщины сталкиваются с различными ограничениями и рекомендациями в отношении лечения различных заболеваний. Когда речь идет о папилломах на половых губах, важно выбрать безопасные методы лечения, которые не нанесут вред развитию плода. Здесь представлены несколько таких методов.
-
Местное лечение: При наличии небольшого количества папиллом, врач может рекомендовать их местную обработку кремами или растворами. Важно выбирать безопасные препараты, которые не содержат агрессивных компонентов. Некоторые натуральные ингредиенты, такие как чайное дерево или масло эвкалипта, могут помочь смягчить симптомы и ускорить процесс их исчезновения.
-
Криотерапия: Криотерапия — это метод лечения, при котором папилломы замораживаются с использованием жидкого азота. Это безопасный метод лечения, который может применяться во время беременности. Однако перед проведением криотерапии необходимо проконсультироваться с врачом, чтобы убедиться в безопасности данной процедуры для беременности.
Как предотвратить появление папиллом на половых губах во время беременности
Во время беременности женщины часто сталкиваются с различными изменениями в своем организме, включая изменения в иммунной системе. Это может приводить к увеличенному риску развития папиллом на половых губах. Чтобы предотвратить появление этих неприятных образований, следует соблюдать определенные рекомендации.
1. Соблюдайте гигиену половых органов

Правильная гигиена половых органов играет важную роль в предотвращении появления папиллом на половых губах. Регулярно мойте половые органы с использованием мягкого нежного мыла и теплой воды. После мочеиспускания или дефекации всегда промывайте область половых органов с помощью влажных салфеток или туалетной бумаги. Избегайте использования агрессивных средств гигиены, таких как гели или антисептики, которые могут повредить кожу.
2. Избегайте контакта с инфицированными партнерами
Папилломы на половых губах чаще всего вызываются вирусом папилломы человека (ВПЧ), который передается половым путем. Чтобы предотвратить инфицирование ВПЧ, избегайте сексуального контакта с партнерами, у которых имеются визуальные симптомы папиллом или генитальных бородавок. Используйте презервативы для защиты от половых инфекций, но помните, что они не обеспечивают абсолютной защиты от ВПЧ.
| Соблюдайте гигиену половых органов | Регулярно мойте половые органы с использованием нежного мыла и теплой воды. |
| Избегайте контакта с инфицированными партнерами | Избегайте сексуального контакта с партнерами с видимыми симптомами папиллом или генитальных бородавок. |
| Используйте презервативы | Презервативы могут помочь предотвратить передачу вируса папилломы человека (ВПЧ). |
Важность консультации с врачом
Врач проведет детальное обследование и оценит состояние папиллом, определит их тип и размеры. Это позволит определить, являются ли папилломы безопасными и не требуют ли они лечения, или же требуется назначение специальных процедур или препаратов. Врач также может провести дополнительные исследования, если существуют подозрения на наличие других возможных заболеваний, связанных с папилломами.
Важно помнить!
Самостоятельное удаление папиллом на половых губах не рекомендуется. Это может привести к осложнениям и инфекции. Только квалифицированный врач может провести процедуру безопасного удаления папиллом, минимизируя возможные риски.
Консультация с врачом также поможет рассмотреть возможные вопросы о профилактике и контроле папиллом в будущем. Врач может рекомендовать вам соблюдать определенные меры предосторожности, чтобы избежать новых образований папиллом на половых губах или их рецидива, а также помочь вам развить здоровый образ жизни, способствующий укреплению иммунной системы.
Источник — http://mdc51.ru/papillomy-na-polovyh-gubah-pri-beremennosti-simptomy-i-lechenie.html