
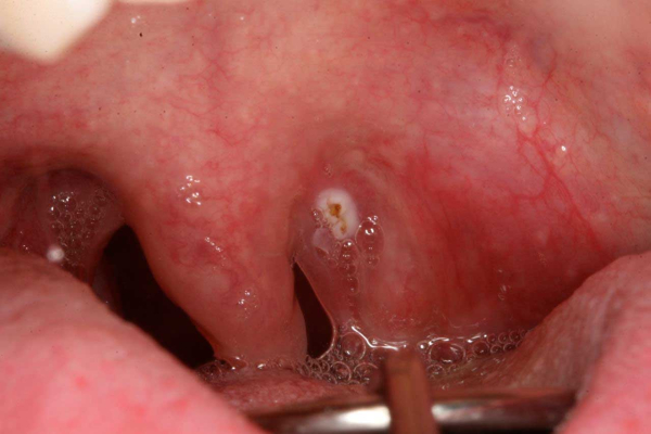
Папиллома на миндалине у ребенка – это довольно распространенное заболевание, которое может вызывать дискомфорт и проблемы с глотанием. Папилломы представляют собой небольшие образования, которые появляются на поверхности миндалин и имеют грубую текстуру. Чтобы эффективно лечить папиллому на миндалине у ребенка, необходимо понять причины ее появления и выбрать подходящий метод лечения.
Основной причиной появления папилломы на миндалине у ребенка является вирусное инфицирование. Одним из наиболее распространенных вирусов, вызывающих папиллому на миндалине, является вирус папилломы человека (HPV). Дети чаще всего заражаются этим вирусом через контакт с другими зараженными детьми или взрослыми.
Лечение папилломы на миндалине у ребенка может варьироваться в зависимости от тяжести и размеров образования. В некоторых случаях, когда папиллома маленькая и не вызывает никаких проблем, лечение может не потребоваться. Однако, если у ребенка имеются симптомы, такие как боль в горле или затруднения при глотании, необходимо обратиться к врачу для диагностики и назначения подходящего лечения.
Важно помнить:
- Папиллома на миндалине у ребенка обычно вызывается вирусом папилломы человека (HPV).
- Лечение может варьироваться в зависимости от размеров и симптомов папилломы.
- Если у ребенка есть боли или затруднения при глотании, необходимо обратиться к врачу.
Причины папилломы на миндалине
- Повреждение эпителиальных клеток: Папиллома возникает, когда ЧПВ заражает клетки миндалины и приводит к их изменениям, а иногда и красному воспалению. Это может произойти вследствие травмы или раздражения миндалины, вызванного, например, острой пищей, инфекцией или зубной проблемой.
- Слабый иммунитет: ЧПВ является вирусом, который может быть подавлен и контролирован здоровой иммунной системой. Если у ребенка слабый иммунитет, его организм может не справиться с ЧПВ, что позволяет папилломе развиться.
- Поведенческие факторы: Некоторые поведенческие факторы, такие как курение, неправильное питание и недостаток гигиены полости рта, могут увеличить риск заражения ЧПВ и развития папилломы на миндалине.
Важно отметить, что папиллома на миндалине часто встречается у детей, старше 5 лет, и может быть связана с рядом факторов, не только с ЧПВ.
Вирусное поражение организма

Существует множество различных видов вирусов, каждый из которых имеет свои особенности и способы заражения. Вирусы могут передаваться через воздух, капли слюны, контакт с инфицированными поверхностями или жидкостями, а также через половой контакт или кровь.
Приведем некоторые примеры вирусных инфекций:
- Грипп: одно из самых распространенных вирусных заболеваний, передающихся через воздух и вызывающих лихорадку, головную боль, насморк и другие симптомы.
- Ветряная оспа: вызывается вирусом Varicella-Zoster и передается через воздух или контакт с высыпаниями. Характеризуется наличием везикул на коже, сопровождаемых зудом и лихорадкой.
- Герпес: является хроническим вирусным заболеванием, вызванным вирусом герпеса. Проявляется в виде пузырьков на коже или слизистых оболочках и сопровождается зудом и жжением.
Защита от вирусных инфекций
Для защиты от вирусных инфекций рекомендуется:
- Соблюдать правила гигиены, включая регулярное мытье рук водой и мылом.
- Избегать близкого контакта с больными людьми или использовать маски при необходимости.
- Получить необходимые вакцинации, если они доступны.
- Поддерживать иммунитет через здоровый образ жизни, включая правильное питание, физическую активность и достаточный отдых.
В некоторых случаях, когда вирус проникает в организм и вызывает инфекцию, может потребоваться медицинское лечение, включая применение противовирусных препаратов или симптоматическую терапию для облегчения симптомов. Для точного диагноза и лечения вирусной инфекции всегда следует обратиться к врачу.
Слабая иммунная система
У ребенка, у которого обнаружена папиллома на миндалине, может быть слабая иммунная система. Иммунная система играет важную роль в защите организма от различных инфекций и заболеваний. Если иммунная система ослаблена, она не может эффективно бороться с вирусами и бактериями, которые могут вызвать появление папилломы.
Причины ослабления иммунной системы могут быть разнообразными. Это может быть результатом генетических факторов, врожденных дефектов иммунной системы, хронических заболеваний или длительного приема определенных лекарственных препаратов. Также, вредные привычки, неправильное питание, недостаток физической активности, стресс и недостаток сна могут внести свой вклад в ослабление иммунной системы ребенка.
- Многочисленные вирусы, в том числе человека папилломы вирусы, могут заразить ребенка, если его иммунная система неспособна их эффективно бороться.
- Ослабленный иммунитет также может способствовать развитию папилломы у ребенка, так как вирус человека папилломы легко передается при прямом контакте с инфицированной областью кожи или слизистой.
При выявлении папилломы на миндалине у ребенка, необходимо обратить внимание на состояние его иммунной системы и, при необходимости, принять меры для ее укрепления. Важно обеспечить ребенку полноценное и сбалансированное питание, регулярную физическую активность, снизить уровень стресса и обеспечить достаточный отдых. При необходимости, можно обратиться к врачу для проведения дополнительных исследований и назначения необходимого лечения для укрепления иммунной системы.
Лечение папилломы на миндалине

При появлении папилломы на миндалине у ребенка важно обратиться к врачу для диагностики и назначения соответствующего лечения. Обычно папиллома на миндалине вызывается вирусом папилломы человека (ВПЧ), и лечение направлено на устранение самой папилломы и подавление вируса.
Описание:
- Диагностика: Врач проводит осмотр миндалин и делает предварительный диагноз, основываясь на внешнем виде папилломы. Чтобы подтвердить диагноз, могут быть назначены следующие исследования:
- Цитологический мазок: Врач берет образец клеток с миндалин для исследования в лаборатории на наличие вируса ВПЧ.
- Биопсия: В некоторых случаях, когда сомневаются в доброкачественном характере папилломы, может быть проведена биопсия.
- Лечение: Лечение папилломы на миндалине может быть различным и включает следующие методы:
- Хирургическое удаление: Папиллому можно удалить хирургическим путем. Врач может использовать метод электрокоагуляции, лазерную энуклеацию или удаление с помощью инструментов.
- Использование лекарственных препаратов: В случае поверхностного поражения, врач может назначить противовирусные препараты или местные препараты для облегчения симптомов и подавления активности вируса ВПЧ.
В случае появления папилломы на миндалине у ребенка, важно обратиться к врачу для профессиональной оценки и назначения правильного лечения. Это поможет устранить папиллому и предотвратить дальнейшее распространение вируса ВПЧ.
Использование противовирусных препаратов для лечения папилломы на миндалине у ребенка

1. Пероральные противовирусные препараты:
- Витаминный препарат: Дозировка, режим и продолжительность приема препарата должны быть согласованы с врачом.
- Химический препарат: Подобрать оптимальную дозировку препарата могут только профессионалы в области медицины.
2. Локальные противовирусные препараты:
- Крем: Применяется только на место выявленной папилломы на миндалине. Рекомендуется наносить крем тонким слоем 2-3 раза в день в течение одной недели или в соответствии с указаниями врача.
- Раствор: Используется для промывания горла и миндалин с целью удаления вирусной инфекции. Рекомендуется использовать раствор несколько раз в день в течение недели или в соответствии с указаниями врача.
Важно понимать, что самостоятельное применение противовирусных препаратов без консультации с педиатром или другим сотрудником медицинского учреждения не рекомендуется. Каждый случай заболевания у детей является индивидуальным, и назначение препарата должно осуществляться только после проведения необходимых исследований и консультации со специалистом.
Хирургическое удаление папилломы
Хотя операция может вызывать некоторое дискомфорт у ребенка, она проводится под общим наркозом, чтобы предотвратить болевые ощущения. В процессе хирургического вмешательства врач удаляет папиллому с миндалины с помощью лазера, электрокоагуляции или обычного скальпеля. После операции может потребоваться некоторое время для заживления раны и восстановления здоровья миндалин. Для облегчения боли и предотвращения инфекции ребенку могут быть назначены анальгетики и антибиотики.
- Хирургическое удаление папилломы на миндалине является эффективным методом лечения в случаях, когда другие методы не помогают.
- Операция проводится под общим наркозом, чтобы предотвратить болевые ощущения у ребенка.
- После операции требуется время для заживления раны и восстановления миндалин.
Методы предотвращения папилломы на миндалине
Папиллома на миндалине у ребенка может быть вызвана различными факторами, включая вирусную инфекцию. Для предотвращения этого заболевания родители и опекуны должны принимать следующие меры:
- Вакцинация: Регулярная вакцинация против вируса папилломы человека (HPV) может снизить риск развития папилломы на миндалине у ребенка. Ознакомьтесь с графиком вакцинации, рекомендованным медицинскими специалистами, и следуйте ему строго.
- Предотвращение контакта с вирусом: Вирус папилломы человека передается главным образом через контакт с инфицированной кожей или слизистыми оболочками. Обучите ребенка правилам личной гигиены, включая регулярное мытье рук и избегание близкого контакта с незнакомыми объектами.
- Укрепление иммунной системы: Регулярное укрепление иммунной системы ребенка может помочь предотвратить развитие папилломы на миндалине. Здоровое питание, физическая активность и достаточное количество сна помогут укрепить его иммунитет.
ВАЖНО: Подростки, проживающие с воспаленными миндалинами, должны быть предупреждены об опасности передачи вируса папилломы человека через оральный секс. Обсудите с ребенком этот риск и, при необходимости, расскажите ему о сексуальных противоречиях и использовании презервативов. Также, следует регулярно проверять ротовую полость на наличие папиллом и обратиться к врачу при первых признаках их появления.
Следование вышеуказанным методам может помочь снизить риск развития папилломы на миндалине у ребенка. В случае появления папиллом на миндалине, необходима консультация врача, который предоставит рекомендации по лечению и устранению данного заболевания.
Укрепление иммунной системы
Иммунная система играет решающую роль в защите организма от различных болезней и инфекций. Укрепление иммунитета у ребенка помогает предотвратить развитие папиллом на миндалинах и другие проблемы.
Существует несколько способов укрепления иммунной системы у ребенка:
- Правильное питание: Рацион ребенка должен быть богат витаминами и минералами. Включение в рацион свежих фруктов и овощей, цельнозерновых продуктов, рыбы, мяса и орехов поможет поддерживать иммунную систему в хорошем состоянии.
- Регулярная физическая активность: Умеренные физические нагрузки, такие как прогулки, бассейн и занятия спортом, способствуют укреплению иммунитета у ребенка.
- Регулярный сон: Достаточное количество сна играет важную роль в поддержании иммунной системы. Рекомендуется обеспечивать ребенку полноценный сон, соблюдать определенный режим дня.
Благоприятные условия для укрепления иммунитета также создают положительная атмосфера в семье, отсутствие стрессов и полноценное общение с ребенком.
Избегание контакта с зараженными людьми
Важно помнить, что папиллома на миндалине является инфекционным заболеванием, и ее можно передать через близкий контакт с зараженным человеком. Поэтому рекомендуется избегать поцелуев, общего использования посуды и предметов личной гигиены с инфицированными людьми. Кроме того, необходимо поддерживать хорошую гигиену рук, регулярно их мыть с мылом и водой.
- Избегайте близкого контакта с людьми, которые уже имеют диагностированную папиллому на миндалине.
- Не делитесь с ними посудой, едой или предметами личной гигиены.
- Важно поддерживать хорошую гигиену рук, регулярно их мыть с мылом и водой.
Запомните: избегание контакта с зараженными людьми является одним из ключевых мероприятий для предотвращения заражения папилломой на миндалине у ребенка.
Последствия папилломы на миндалине
Папилломы на миндалине могут вызвать ряд неприятных последствий и проблем. Вот несколько основных последствий, которые могут возникнуть:
-
Ухудшение качества жизни: Папилломы на миндалине могут привести к постоянному дискомфорту при глотании и разговоре. Это может сказаться на питании и общении ребенка, что может привести к ухудшению его настроения и социальной жизни.
-
Увеличение риска заражения: Папилломы на миндалине могут быть источником вируса папилломы человека (ВПЧ), который является причиной различных видов рака, включая рак гортани и рак ротовой полости. Если папилломы начинают расти и распространяться, это может повысить риск развития рака у ребенка.
Важно заметить, что только врач может надлежащим образом оценить и объяснить все возможные последствия папилломы на миндалине. Регулярные посещения врача и соблюдение его рекомендаций помогут своевременно выявить и пролечить данное заболевание, снизив риск возникновения нежелательных последствий.
Источник — http://mdc51.ru/prichiny-i-lechenie-papillomy-na-mindaline-u-rebenka.html