
Спленомегалия — это увеличение размеров селезенки свыше 13-15 см при вертикальном положении пациента. Увеличение селезенки может быть вызвано различными факторами, такими как инфекционные заболевания, аутоиммунные процессы, лимфопролиферативные заболевания и другие патологии.
Для диагностики спленомегалии необходимо провести комплексное обследование пациента. Врач должен оценить размеры селезенки при пальпации живота, а также провести лабораторные и инструментальные исследования. Основным методом диагностики является ультразвуковое исследование, которое позволяет определить точный размер селезенки, а также выявить возможные изменения в ее структуре.
Лечение спленомегалии зависит от ее причин. В некоторых случаях требуется только наблюдение и поддерживающая терапия, а в более тяжелых ситуациях может потребоваться хирургическое вмешательство. Причиной увеличения селезенки может быть инфекционное заболевание, поэтому может потребоваться антибиотикотерапия. В случае наличия опухоли или опухолеподобного процесса могут потребоваться химиотерапия, иммунотерапия или хирургическое удаление селезенки.
Спленомегалия — увеличение размеров селезенки.
Диагностика спленомегалии включает ультразвуковое исследование, лабораторные и инструментальные исследования.
Лечение спленомегалии зависит от причины и может включать наблюдение, поддерживающую терапию или хирургическое вмешательство.
Спленомегалия: критерии и основные причины

- Распространенная пальпация селезенки, с определенной долей вероятности отличающая новообразования, определение болей при пальпации, а также некоторые навыки визуального анализа.
- Дополнительные методы исследования, включая ультразвуковое исследование, компьютерную и магнитно-резонансную томографию, диафаноскопию и другие, используемые в сочетании в зависимости от случая.
Среди основных причин спленомегалии следует выделить:
- Инфекционные заболевания, такие как малярия, коклюш, волчанка, инфекционный мононуклеоз, сепсис и другие. Они могут вызвать воспаление селезенки и ее увеличение.
- Гематологические нарушения, например, лейкемия, лимфома, миелома, тромбоцитопения, гемолитическая анемия и другие. Эти заболевания приводят к нарушению кроветворения и функции селезенки.
- Аутоиммунные заболевания, такие как системная красная волчанка, ревматоидный артрит, васкулиты и другие. Нарушения иммунной системы приводят к воспалению селезенки и ее увеличению.
- Опухоли и кисты селезенки, которые могут быть хорошо- и злокачественными, метастазирующими из других органов.
- Цирроз печени и другие заболевания, вызывающие нарушение кровообращения и оттока крови из селезенки.
| Инфекционные заболевания | Гематологические нарушения | Аутоиммунные заболевания | Опухоли и кисты | Цирроз печени |
|---|---|---|---|---|
| Малярия | Лейкемия | Системная красная волчанка | Хорошо- и злокачественные опухоли | Цирроз печени |
| Коклюш | Лимфома | Ревматоидный артрит | Метастазы из других органов | Другие заболевания, вызывающие нарушение кровообращения |
Спленомегалия — это увеличение размеров селезенки, обычно связанное с различными заболеваниями и нарушениями в организме. Установление наличия спленомегалии может быть осуществлено посредством пальпации селезенки и дополнительных методов исследования. Основными причинами спленомегалии являются инфекционные заболевания, гематологические нарушения, аутоиммунные заболевания, опухоли и кисты селезенки, и цирроз печени.
Спленомегалия: проявления и последствия
Возможными последствиями спленомегалии являются нарушения кроветворения и иммунной системы. Увеличенная селезенка может сжимать соседние кровеносные сосуды, что приводит к нарушению кровообращения и возникновению анемии. Кроме того, она может оказывать негативное воздействие на функцию иммунной системы. Увеличенная селезенка становится менее эффективной в уничтожении возбудителей инфекций и удалении старых и поврежденных клеток, что повышает риск инфекционных заболеваний и автоиммунных реакций.
Проявления спленомегалии:
- Болезненность в левом верхнем квадранте живота;
- Чувство наполненности или тяжести в области селезенки;
- Дисфункция соседних органов;
- Нарушение кроветворения;
- Ухудшение работы иммунной системы;
- Повышенный риск инфекционных заболеваний.
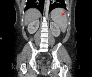
Диагностика спленомегалии: методы и исследования
В случае подозрения на спленомегалию может быть назначено ультразвуковое исследование (ультразвук). Этот метод позволяет получить более детальную информацию о размерах и структуре селезенки, а также о наличии возможных опухолей или кист. Ультразвук также может помочь определить причину увеличения селезенки, такую как цирроз печени или инфекционные заболевания.
Дополнительно для определения причины спленомегалии могут быть назначены клинические анализы крови, включая общий анализ крови, биохимический анализ крови и исследование на наличие инфекций. Проведение таких анализов помогает выявить наличие воспалительных процессов, анемии, нарушений свертываемости крови и других патологий, которые могут быть связаны с увеличением селезенки.
Лечение спленомегалии: основные подходы и методы

Лечение спленомегалии зависит от основной причины, которая вызвала увеличение селезенки. В каждом конкретном случае необходимо провести тщательную диагностику и определить, какое лечение будет наиболее эффективным. Однако существуют некоторые общие подходы и методы в лечении данного состояния.
В большинстве случаев, если спленомегалию вызывают инфекционные заболевания, применяются антибиотики или противовирусные препараты для лечения основного заболевания. Также может использоваться симптоматическое лечение, направленное на облегчение симптомов спленомегалии, таких как боль в верхнем левом квадранте живота и утомляемость.
- Хирургическое вмешательство: В некоторых случаях, когда причиной спленомегалии являются новообразования или механические причины (травмы, кровоизлияния), может потребоваться хирургическое удаление селезенки. Эта процедура называется спленэктомия.
- Терапия основного заболевания: Если спленомегалия вызвана определенным заболеванием, то следует применять соответствующую терапию для устранения этой причины и сокращения размеров селезенки.
- Трансплантация селезенки: В редких случаях может потребоваться трансплантация селезенки, особенно если спленомегалия вызвана наследственными или иммунологическими нарушениями.
Важно отметить, что лечение спленомегалии должно проводиться под руководством врача и быть индивидуальным для каждого конкретного пациента, учитывая его состояние здоровья и особенности болезни.
Возможные осложнения спленомегалии и их предотвращение
Еще одним частым осложнением спленомегалии является гиперспленизм, когда селезенка начинает уничтожать здоровые кровяные клетки, такие как эритроциты, тромбоциты и лейкоциты. Это может привести к анемии, тромбоцитопении и лейкопении. Чтобы предотвратить развитие гиперспленизма, важно регулярно контролировать уровень кровяных клеток и при необходимости проводить лечение, направленное на снижение активности селезенки.
| Возможное осложнение | Предотвращение осложнения |
|---|---|
| Тромбоцитопения | Регулярный контроль уровня тромбоцитов и необходимая терапия |
| Гиперспленизм | Регулярный контроль уровня кровяных клеток и лечение для снижения активности селезенки |
Когда необходима спленэктомия: показания и противопоказания
Одним из наиболее распространенных показаний для спленэктомии является спленомегалия — увеличение размеров селезенки. Спленомегалия может быть симптомом различных заболеваний, таких как лимфома, лейкемия, цирроз печени и многих других. При значительном увеличении размера селезенки возникает риск ее повреждения и разрыва, что требует срочного хирургического вмешательства в виде спленэктомии.
Однако, спленэктомия не рекомендуется для всех пациентов. Некоторые противопоказания включают наличие дегенеративных заболеваний селезенки, таких как кисты или опухоли. Также спленэктомия может быть противопоказана при компрометации иммунной системы или при наличии серьезных сопутствующих заболеваний, которые могут ухудшиться после удаления селезенки.
Последствия спленэктомии: ограничения и меры предосторожности
После проведения спленэктомии, то есть удаления селезенки, пациент может столкнуться с определенными ограничениями и нуждаться в принятии мер предосторожности. Важно отметить, что селезенка играет важную роль в организме человека, выполняя функции регуляции иммунной системы и участвуя в очищении крови. Поэтому, ее удаление может привести к некоторым последствиям, требующим особого внимания.
Ограничения

Одним из основных ограничений после спленэктомии является повышенный риск возникновения инфекций. Селезенка играет ключевую роль в защите организма от бактерий, вирусов и других возбудителей, поэтому ее отсутствие может ослабить иммунную систему и сделать пациента более уязвимым к инфекциям. Поэтому после операции спленэктомии пациентам часто рекомендуется прививаться от определенных инфекций и принимать антибиотики для профилактики возможных осложнений.
Кроме того, после удаления селезенки у пациента может возникнуть повышенная тромбозная активность крови. Селезенка играет важную роль в поддержании баланса в системе свертывания крови, поэтому ее отсутствие может привести к нарушению этого процесса. Пациентам после спленэктомии рекомендуется следить за своей физической активностью, избегать длительного неподвижного положения и принимать противотромботические препараты для предотвращения тромбоэмболических осложнений.
Меры предосторожности
- Пациентам, которым была проведена спленэктомия, рекомендуется регулярно обследоваться у своего врача, чтобы контролировать состояние и функции организма.
- При высоком риске развития инфекций пациентам могут назначать регулярные прививки для укрепления иммунной системы.
- Важно избегать контакта с инфекционными больными и принимать все необходимые меры гигиены для предотвращения возникновения инфекций.
- Пациентам следует быть особенно внимательными к своему здоровью и немедленно обратиться за медицинской помощью при любых подозрениях на инфекцию или тромбоз.
- Разработка индивидуального плана лечения и реабилитации пациента после спленэктомии поможет минимизировать риск осложнений и максимально сохранить качество жизни.
Профилактика спленомегалии: основные рекомендации
Спленомегалия может быть вызвана различными причинами, поэтому важно принимать меры по ее профилактике, особенно если у вас есть предрасположенность к этому состоянию или у вас уже наблюдаются какие-либо симптомы. Следуя следующим рекомендациям, можно снизить риск развития спленомегалии и поддерживать здоровье селезенки:
- Следить за общим состоянием здоровья и своевременно лечить инфекционные заболевания. Инфекции могут быть одной из причин увеличения селезенки, поэтому важно принимать меры для их профилактики и лечения.
- Избегать контакта с инфекционными агентами. При близком контакте с больными инфекционными заболеваниями следует соблюдать гигиену рук и принимать меры по защите себя от возможной инфицированности.
- Следить за уровнем гемоглобина в крови. Дефицит железа может способствовать увеличению селезенки, поэтому рекомендуется правильно составлять рацион и употреблять пищу богатую железом.
- Поддерживать активный образ жизни и заниматься регулярными физическими упражнениями. Физическая активность способствует повышению общего тонуса организма и может помочь в профилактике спленомегалии.
Важно помнить! Если у вас уже есть диагностированная спленомегалия или симптомы, связанные с увеличенной селезенкой, необходимо обратиться к врачу для получения диагностики и назначения соответствующего лечения. Самолечение и игнорирование проблемы может привести к серьезным последствиям.
В таблице ниже представлены основные рекомендации по профилактике спленомегалии:
| Рекомендации по профилактике спленомегалии |
|---|
| Следить за общим состоянием здоровья и лечить инфекции вовремя. |
| Избегать контакта с инфекционными агентами и соблюдать гигиену рук. |
| Следить за уровнем гемоглобина и употреблять пищу, богатую железом. |
| Поддерживать активный образ жизни и заниматься физическими упражнениями. |
Помните, что спленомегалию необходимо профилактировать и лечить, следуя рекомендациям специалистов. Для диагностики и назначения соответствующего лечения обратитесь к врачу.
Источник — http://mdc51.ru/splenomegaliya-kriterii-prichiny-proyavleniya-diagnostika-lechenie.html