Потеря всех зубов – это серьёзная проблема, которая влияет не только на эстетику улыбки, но и на качество жизни в целом. Отсутствие зубов затрудняет пережевывание пищи, что может привести к проблемам с пищеварением. Кроме того, отсутствие зубов влияет на речь, дикцию и самооценку. К счастью, современная стоматология предлагает эффективное решение этой проблемы – тотальное протезирование зубов. Процедура тотального протезирования зубов позволяет восстановить не только эстетику улыбки, но и функциональность зубочелюстной системы.
Тотальное протезирование зубов – это метод восстановления зубного ряда при полной утрате зубов. Этот метод позволяет восстановить жевательную функцию, улучшить речь и вернуть пациенту уверенность в себе. В этой статье мы подробно рассмотрим показания к тотальному протезированию, виды протезов, этапы установки, а также дадим рекомендации по уходу за протезами.

Показания к тотальному протезированию зубов
Основным показанием к тотальному протезированию зубов является полная утрата зубов на верхней и/или нижней челюсти. Однако существуют и другие факторы, которые могут указывать на необходимость тотального протезирования.
К основным показаниям относятся:
- Полная адентия: отсутствие всех зубов на челюсти.
- Множественное разрушение зубов: когда большая часть зубов разрушена кариесом или другими заболеваниями и не подлежит восстановлению.
- Пародонтит в тяжелой стадии: когда зубы становятся подвижными и выпадают из-за воспаления и разрушения тканей, окружающих зубы.
- Травмы челюсти: при серьезных травмах, которые приводят к потере зубов.
- Неудовлетворительное состояние имеющихся зубов: когда оставшиеся зубы не могут служить опорой для частичных протезов и требуют удаления.
Виды протезов для тотального протезирования
Существует несколько видов протезов, используемых для тотального протезирования. Выбор конкретного типа протеза зависит от индивидуальных особенностей пациента, его анатомических характеристик и финансовых возможностей.
Съемные протезы
Съемные протезы – это наиболее распространенный и доступный вид протезов для тотального протезирования. Они изготавливаются из акриловой пластмассы и фиксируются на деснах за счет эффекта присасывания и анатомических особенностей челюсти.
Преимущества съемных протезов:
- Доступная цена: съемные протезы являются наиболее бюджетным вариантом тотального протезирования.
- Простота установки и ухода: съемные протезы легко устанавливаются и снимаются, а также не требуют сложного ухода.
- Быстрое изготовление: изготовление съемного протеза занимает относительно немного времени.
Недостатки съемных протезов:
- Неудобство при ношении: съемные протезы могут вызывать дискомфорт, натирать десны и нарушать дикцию.
- Снижение жевательной эффективности: съемные протезы не обеспечивают такой же жевательной эффективности, как естественные зубы или имплантаты.
- Необходимость регулярной коррекции: съемные протезы требуют регулярной коррекции, так как со временем костная ткань челюсти атрофируется, что приводит к ухудшению фиксации протеза.
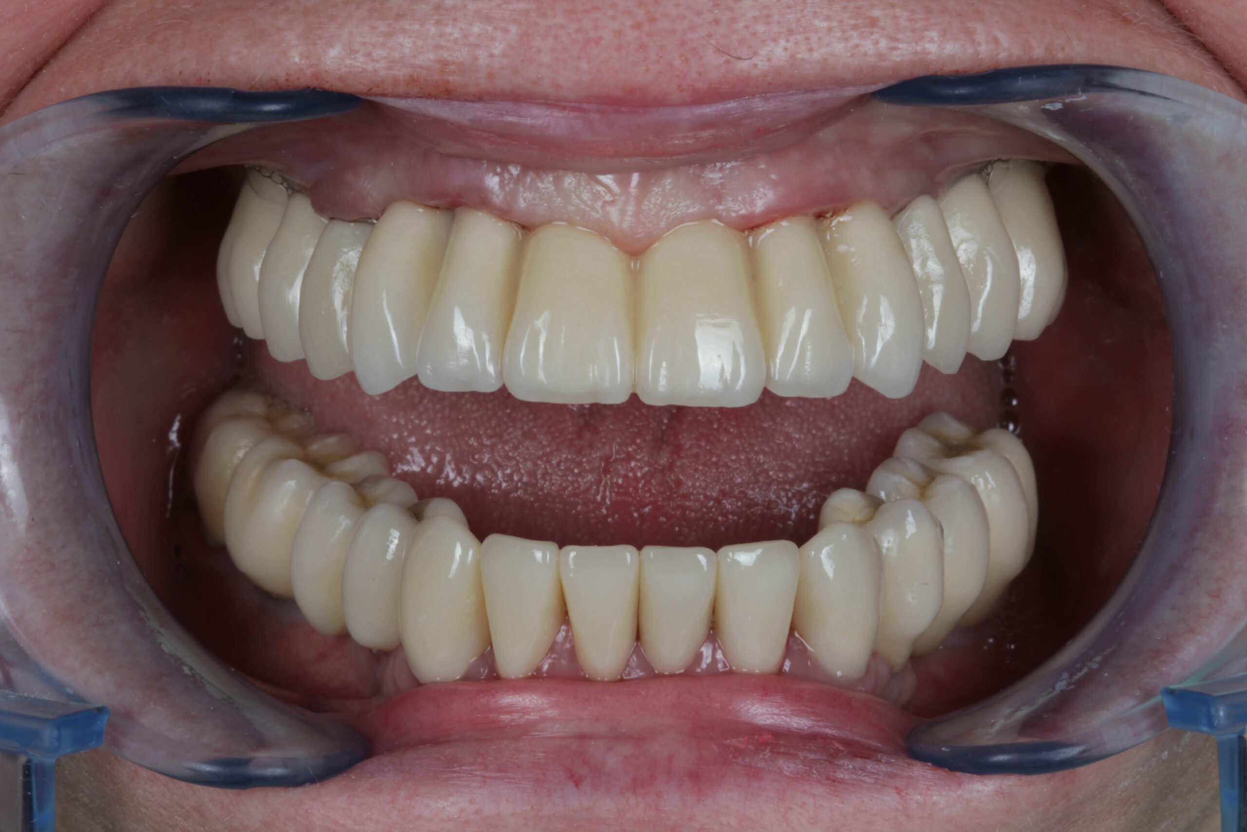
Протезы на имплантатах
Протезы на имплантатах – это более современный и эффективный вид протезов для тотального протезирования. Они фиксируются на имплантатах, которые вживляются в костную ткань челюсти. Имплантаты служат опорой для протеза, обеспечивая его надежную фиксацию и стабильность.
Преимущества протезов на имплантатах:
- Надежная фиксация: протезы на имплантатах надежно фиксируются в полости рта, не смещаются и не выпадают.
- Высокая жевательная эффективность: протезы на имплантатах обеспечивают высокую жевательную эффективность, близкую к естественным зубам.
- Сохранение костной ткани: имплантаты стимулируют костную ткань челюсти, предотвращая ее атрофию.
- Комфорт при ношении: протезы на имплантатах не вызывают дискомфорт и не нарушают дикцию.
Недостатки протезов на имплантатах:
- Высокая стоимость: протезы на имплантатах являются более дорогим вариантом тотального протезирования, чем съемные протезы.
- Хирургическое вмешательство: для установки имплантатов необходимо хирургическое вмешательство.
- Длительный процесс лечения: установка имплантатов и изготовление протеза занимает несколько месяцев.
- Противопоказания: существуют противопоказания к установке имплантатов, такие как заболевания крови, сахарный диабет в тяжелой форме и другие.
Условно-съемные протезы
Условно-съемные протезы представляют собой компромиссный вариант между съемными протезами и протезами на имплантатах. Они фиксируются на нескольких имплантатах с помощью специальных замков или балок. Пациент может самостоятельно снимать и устанавливать протез для гигиенических процедур.
Преимущества условно-съемных протезов:
- Более надежная фиксация: по сравнению со съемными протезами, условно-съемные протезы имеют более надежную фиксацию.
- Улучшенная жевательная эффективность: условно-съемные протезы обеспечивают более высокую жевательную эффективность, чем съемные протезы.
- Удобство ухода: пациент может самостоятельно снимать и устанавливать протез для гигиенических процедур.
Недостатки условно-съемных протезов:
- Более высокая стоимость: по сравнению со съемными протезами, условно-съемные протезы являются более дорогими.
- Хирургическое вмешательство: для установки имплантатов необходимо хирургическое вмешательство.
- Необходимость регулярного ухода: условно-съемные протезы требуют регулярного ухода и чистки.
Этапы тотального протезирования зубов
Тотальное протезирование зубов – это комплексный процесс, который включает в себя несколько этапов.
Первичная консультация и диагностика
На первом этапе врач проводит первичную консультацию, собирает анамнез и проводит осмотр полости рта. Для диагностики могут быть назначены рентгеновские снимки или компьютерная томография челюсти.
Подготовка к протезированию
На этом этапе врач проводит санацию полости рта, удаляет зубы, не подлежащие восстановлению, и лечит воспалительные заболевания десен.
Снятие слепков
Врач снимает слепки с челюстей пациента для изготовления индивидуального протеза.
Изготовление протеза
На основе слепков в зуботехнической лаборатории изготавливается протез.
Примерка и коррекция протеза
Врач проводит примерку протеза в полости рта пациента и корректирует его при необходимости. Этот этап может потребовать нескольких посещений.
Установка протеза
После окончательной коррекции протез устанавливается в полости рта пациента.
Обучение уходу за протезом
Врач обучает пациента правилам ухода за протезом и дает рекомендации по его эксплуатации.
Уход за тотальными протезами
Правильный уход за тотальными протезами позволяет продлить срок их службы и избежать проблем с деснами и слизистой оболочкой полости рта.
Основные правила ухода за протезами:
- Чистка протеза: протез необходимо чистить два раза в день с помощью мягкой зубной щетки и специальной пасты для протезов.
- Полоскание полости рта: после каждого приема пищи необходимо полоскать полость рта водой или специальным раствором для полоскания.
- Снятие протеза на ночь: на ночь протез рекомендуется снимать и хранить в специальном контейнере с водой или раствором для хранения протезов.
- Регулярные визиты к стоматологу: необходимо посещать стоматолога для профилактических осмотров и коррекции протеза не реже одного раза в год.
- Избегать твердой и липкой пищи: следует избегать употребления твердой и липкой пищи, которая может повредить протез.
Заключение
Тотальное протезирование зубов – это эффективное решение проблемы полной утраты зубов. Современные виды протезов позволяют восстановить жевательную функцию, улучшить речь и вернуть пациенту уверенность в себе. Правильный уход за протезами позволяет продлить срок их службы и избежать проблем с деснами и слизистой оболочкой полости рта. Больше информации можно найти на eos-stomatology.ru/category/blog/. Обратитесь к квалифицированному стоматологу, чтобы выбрать оптимальный вид протеза и получить профессиональную помощь в восстановлении вашей улыбки и качества жизни.